| Токсоплазмоз | |
|---|---|
Токсоплазмы при оптической микроскопии |
|
| МКБ-10 | B 58 58. |
| МКБ-10-КМ | B58.9 и B58 |
| МКБ-9 | 130 130 |
| МКБ-9-КМ | 130.9 [1] [2] , 130 [1] [2] и 130.7 [2] |
| DiseasesDB | 13208 |
| MedlinePlus | 000637 |
| eMedicine | med/2294 |
| MeSH | D014123 и D014123 |
Токсоплазмоз — паразитарное заболевание человека и животных, вызываемое токсоплазмами Toxoplasma gondii, в подавляющем большинстве случаев протекающее бессимптомно [3] . Источник инвазии — различные виды (свыше 180) домашних и диких млекопитающих (кошки, собаки, кролики; хищники, травоядные, грызуны).
Содержание
Эпидемиология [ править | править код ]
До половины населения мира инфицировано токсоплазмозом [4] . В США носителями являются 23 % населения [5] , в России — около 20 % [6] , а в некоторых районах мира доля носителей достигает 95 % [7] .
Глобальная ежегодная заболеваемость врождённым токсоплазмозом оценивается на уровне 190 100 случаев. Высокие уровни заболевания были отмечены в Южной Америке, некоторых ближневосточных странах и странах с низким уровнем доходов [8] .
Пути заражения [ править | править код ]
Заражение человека происходит при употреблении мясных продуктов и яиц, не прошедших достаточную термическую обработку. Не исключена возможность заражения при попадании возбудителя на слизистые оболочки и повреждённые кожные покровы, трансмиссивным (см. Трансмиссивные болезни) и др. путём. Наблюдается и внутриутробное заражение. Факторы, которые могут способствовать появлению в организме паразита и повышают риск возникновения токсоплазмоза:
- контакт с заражёнными животными;
- использование в быту немытых после уборки кошачьего туалета или любого другого контакта с кошачьими экскрементами рук;
- употребление в пищу сырого или не до конца приготовленного мяса, особенно [источник не указан 387 дней] свинины, говядины, мяса ягнёнка или оленины;
- контакт с сырым или непрожаренным (непроваренным) мясом;
- пересадка органов или переливание крови (очень редко);
- наличие токсоплазмоза у родителей.
Клиническая картина [ править | править код ]
Различают врождённый и приобретённый (острый и хронический) токсоплазмоз. При врождённом токсоплазмозе наблюдаются гибель плода в утробе матери, смерть новорождённого в результате общей инфекции или (у оставшихся в живых) поражение нервной системы, глаз и других органов, олигофрения. Олигофрения при врождённом токсоплазмозе достигает тяжёлой степени и проявляется с первых месяцев жизни [9] .
Острая приобретённая форма протекает как тифоподобное заболевание (с высокой температурой, увеличением печени, селезёнки) либо с преимущественным поражением нервной системы (головная боль, судороги, рвота, параличи и др. [ чем? ] ). Чаще токсоплазмоз протекает хронически, с субфебрильной температурой, головной болью, увеличением лимфоузлов и печени, понижением работоспособности; может сопровождаться поражением глаз, сердца, нервной и других систем и органов. Токсоплазмоз может протекать и в латентной (скрытой) форме.
Диагностика [ править | править код ]
Основным методом диагностики заболевания является серологический.
Выполняется определение уровня иммуноглобулинов G с помощью ИФА или реакции непрямой флюоресценции.
Уровень антител достигает максимального уровня через 1—2 месяца после начала заболевания и впоследствии регистрируется неопределённо долго.
У пациентов с сероконверсией или четырёхкратным увеличением титра IgG определяют уровень специфических IgM для подтверждения наличия острой инфекции.
ИФА является методом выбора при анализе уровня IgM, с его помощью регистрируется рост их концентрации уже через 2 недели после инфицирования.
Пик концентрации антител достигается через месяц, исчезают они обычно через 6—9 месяцев, но в отдельных случаях могут периодически обнаруживаться в течение 2 и более лет, затрудняя дифференцировку острой и хронической форм инфекции.
Лечение [ править | править код ]
Обычные люди излечиваются от острой формы токсоплазмоза самостоятельно, без медикаментозного лечения. Беременные женщины и новорождённые нуждаются в лечении, однако следует понимать, что целью лечения является лишь устранение острой фазы и симптомов заболевания. Лицам с глазной формой заболевания следует лечиться у офтальмолога и получать препараты, назначаемые в зависимости от размеров поражения и его формы: острой или хронической (без прогрессирования). Лица с ослабленным иммунитетом (например с ВИЧ) должны получать лечение до устранения признаков заболевания, а пациенты в стадии СПИД получают лечение от токсоплазмоза пожизненно [10] .
Лечение обычно требуется только лицам с серьёзными проблемами со здоровьем, например, людям с ВИЧ, у которых количество CD4-лимфоцитов менее 200 клеток в мм³ крови, потому что болезнь обычно представляет опасность лишь когда иммунная система слаба. Препаратом выбора для предотвращения токсоплазмоза является Ко-тримоксазол (Бисептол), но он не подходит для лечения активной формы болезни. Новое исследование (май 2012 года) показывает перспективный способ лечения активной и латентной формы этого заболевания с помощью двух [ каких? ] противомалярийных препаратов класса ELQ (Endochin-like quinolones) [11] .
Острая форма [ править | править код ]
Следующие препараты показаны для лечения острого токсоплазмоза [12] :
- Пириметамин (Daraprim) — противомалярийное лекарство;
- Сульфадиазин (Argedin) — антибактериальный препарат из группы сульфаниламидов, используемый в сочетании с пириметамином для лечения токсоплазмоза;
- Комбинированная терапия обычно проводится с фолиевой кислотой для снижения риска тромбоцитопении.
- Комбинированная терапия является наиболее полезной при наличии ВИЧ.
Клиндамицин (Dalacin и другие) — полусинтетический антибиотик группы линкозамидов; Спирамицин (Doramycin и другие) — природный антибиотик из группы макролидов, используемый чаще всего для беременных женщин, с целью предотвратить заражение плода.
Другие антибиотики, такие как Миноциклин (Minolexin и другие), используются в качестве препаратов резерва, то есть в том случае, если обычные методы лечения не помогают или они по каким-то причинам противопоказаны.
Латентная форма [ править | править код ]
У людей с латентным токсоплазмозом цисты токсоплазмы устойчивы к лечению, так как антибиотики не достигают брадизиот в достаточной концентрации. Лекарства, предписанные для латентной формы токсоплазмоза:
- Атоваквон (Mepron) — антибиотик, который используется, чтобы убить цисты токсоплазмы у больных ВИЧ;
- Клиндамицин (Dalacin и другие) — полусинтетический антибиотик группы линкозамидов, который в сочетании с Атоваквоном кажется оптимальным при уничтожении цист токсоплазмы у мышей.
Врождённый токсоплазмоз [ править | править код ]
В том случае, если беременная женщина заболела острым токсоплазмозом, для определения, был ли заражён плод, может быть использован амниоцентез. Когда беременная женщина заболевает острым токсоплазмозом, есть примерно 30-процентная вероятность того, что тахизоиты токсоплазмы поразят ткани плаценты, а оттуда произойдёт и заражение плода [13] .
Если паразит ещё не достиг плода, Спирамицин может помочь предотвратить передачу через плаценту. Если плод был заражён, беременная женщина может лечиться Пириметамином и Сульфадиазином после первого триместра, с добавлением фолиевой кислоты. Это делается после первого триместра, так как Пириметамин обладает антифолатным эффектом, а отсутствие фолиевой кислоты в первом триместре может помешать формированию головного мозга плода и вызывает тромбоцитопению [14] . Заражение на более ранних сроках беременности коррелирует с ухудшением фетального и неонатального прогнозов [15] .
Прогноз [ править | править код ]
У лиц без иммунодефицита, как правило, благоприятный.
При заражении токсоплазмой при наличии беременности, либо менее чем за 3—9 месяцев до неё — прогноз негативный для плода. При заражении в первом триместре беременности существует большой риск появления отклонений, несовместимых с жизнью. При заражении во втором триместре — большая вероятность патологий мозга, нервной системы, органов зрения. При заражении в третьем триместре беременности высок шанс заражения ребёнка, однако последствия менее опасны и могут отсутствовать или проявляться в латентной форме [6] [16] [17] [18] .
Профилактика [ править | править код ]
Борьба с токсоплазмозом домашних животных, соблюдение санитарных правил при уходе за животными и обработке продуктов, тщательное обследование на токсоплазмоз беременных. Токсоплазма в мясе погибает при нагревании мяса до 67 °C или охлаждении до −13 °C [19] .
Заболевание, вызываемое деятельностью в организме человека паразита Toxoplasma gondii – это токсоплазмоз. Симптомы у людей вызывает паразит, который подвижен, при рассмотрении с помощью микроскопа имеет овальную или округлую форму, похож на полумесяц или дольку цитруса.
Пути заражения токсоплазмой
Существует несколько путей заражения человека паразитом:
- От животных. Известно, что токсоплазмы и следы их активности обнаружены у 200 видов млекопитающих и 100 видов птиц. Инфицирование человека происходит вследствие контакта человека с животными.
- Вследствие употребления в пищу немытых овощей и фруктов, термически необработанного (недостаточно обработанного) мяса.
- Токсоплазма может попасть в кровь человека после укусов насекомых или в открытые раны на коже.
- Внутриутробное заражение – от беременной женщины будущему ребенку.
- Вследствие переливания крови или пересадки органов.
Наиболее распространенный путь заражения человека – контакт с домашними животными, преимущественно с кошками. В их организме происходит половое созревание и размножение паразита. Животные выделяют возбудителя с мочой, слюной, молоком, в виде цист во внешнюю среду с фекалиями. При этом цисты токсоплазм, которые находятся в мясных продуктах, недолго сохраняют свою жизнеспособность, быстро погибают при термической обработке или замораживании. А вот паразиты, попадающие во внешнюю среду с фекалиями, сохраняют свою жизнеспособность до 2 лет.
Распространение токсоплазмы в организме человека
Однако на фоне сниженного иммунитета токсоплазма будет активно размножаться в организме и, попадая во внутренние органы, вызывать в них воспалительные процессы, приводить к сбою в работе множественных функциональных систем (нервной системы, сетчатки глаз, печени, миокарда). У части больных может наблюдаться вялотекущий хронический токсоплазмоз, симптомы которого могут быть практически незаметными для человека. Но бывают и редкие случаи с острым, тяжелым течением болезни, которые требуют диагностики и лечения. Наиболее грубые морфологические изменения нервной системы происходят у детей. К сожалению, детский организм в большей степени подвержен воздействию болезни и часто поражение ЦНС проявляется как токсоплазмоз головного мозга. Симптомы болезни будут рассмотрены далее.
В зависимости от того, каким путем возбудитель попадает в организм человека, различают:
- врожденный токсоплазмоз;
- приобретенный токсоплазмоз.
Следует сразу отметить, что симптомы врожденного и приобретенного токсоплазмоза могут иметь существенные различия.
Токсоплазмоз: симптомы у людей в первые годы жизни
Врожденный токсоплазмоз – это заболевание, которое поражает ребенка еще в утробе матери, в период беременности женщины. Токсоплазма проникает через плаценту и вызывает болезнь плода. Если инфицирование происходит в первом или во втором триместре беременности, плод погибает по причине несовместимых с жизнью патологий развития. Если у женщины выявлен токсоплазмоз во время беременности на больших сроках, ребенок рождается с тяжелыми пороками, приводящими часто к функциональным нарушениям и вызывающими токсоплазмоз головного мозга. Симптомы часто могут свидетельствовать о менингоэнцефалите, выражающемся в эпилептических припадках и судорогах, нарушениях координации, абсцессах головного мозга, расстройстве сознания. Иногда возникают поражения спинного мозга. Токсоплазмоз поражает плод только единожды, последующие беременности будут защищены антителами матери, выработанными иммунной системой.
Токсоплазмоз протекает внутриутробно и приводит к возникновению:
- гидроцефалии, вызывающей увеличение размеров головы, истончение костей черепа;
- воспаления сосудов и сетчатки глаз (с возможным поражением макулы) – хориоретинита;
- кальцификатов в коре головного мозга (обнаруживаются с помощью КТ и МРТ).
Психомоторное возбуждение и галлюцинации, частая умственная отсталость – вот к чему приводит врожденный токсоплазмоз у детей. Симптомы заболевания могут также проявляться увеличением печени и селезенки. До недавнего времени считалось, что дети с врожденным токсоплазмозом не доживают до пятилетнего возраста, умирают в первые годы жизни. Однако сегодня существует возможность стабилизировать инфекцию. Не исключено даже полное выздоровление с некоторыми остаточными проявлениями. Многое зависит от степени поражения нервной системы.
Формы токсоплазмоза. Осложнения
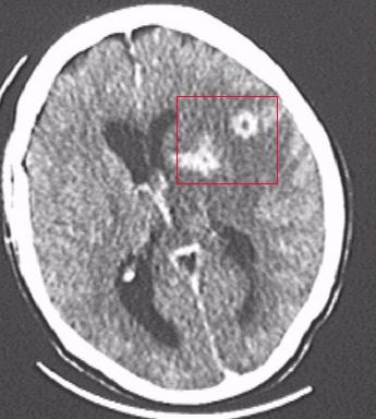
Сначала рассмотрим подробнее, к чему приводит запущенный токсоплазмоз. Симптомы у человека (фото на пленке посредством МРТ в разрезе) осложненного течения болезни в виде образований в мозговых оболочках просматриваются на нижеприведенном рисунке. Зона поражения обозначена красным квадратом, и она свидетельствует о развитии гнойного менингоэнцефалита. Этому состоянию могут сопутствовать осложнения — слепота, истощение, паралич. Смерть наступает от обширного и стремительно развивающегося поражения головного мозга.
Следует отметить, что токсоплазмоз мозга (симптомы и морфологические признаки) проявляется весьма разнообразно. Если проводить микроскопическое исследование, то наиболее характерными будут рассеянные по головному и спинному мозгу гранулемы, которые состоят из больших эпителиоидных клеток, лимфоцитов. Гранулемы заключают в себе паразитов и окружены отеками с очагами некроза.
Помимо врожденного токсоплазмоза у взрослого населения может появляться приобретенный токсоплазмоз. Симптомы у людей свидетельствуют об одной из трех форм течения болезни:
- острая форма;
- хроническая форма;
- латентная форма.
Острая форма токсоплазмоза встречается нечасто, ею страдают примерно 0,2—0,3% больных, лица с крайне ослабленным иммунитетом (например, ВИЧ-инфицированные). Инкубационный период заболевания длится от 5 до 23 дней.
Как проявляется острый токсоплазмоз
С высокой температуры, судорог и рвоты начинается острый токсоплазмоз. Симптомы у взрослых могут выражаться в сыпи или пневмонии. Кроме того, далее к этим могут присоединиться остальные признаки болезни в виде следующих симптомов:
- частая утомляемость, озноб;
- боль в суставах, слабость в мышцах, головная боль;
- увеличение лимфоузлов (преимущественно на шее);
- увеличенные печень и селезенка, гепатит;
- энцефалит, поражение оболочки сердца (эндокардит);
- поражение глаз — помутнения хрусталика, воспаление сетчатки и сосудистой оболочки глаза.
Следует заметить, что среди всех прочих симптомов, поражение глаз может в большей степени свидетельствовать о наличии в организме токсоплазмы.
Острый токсоплазмоз, как правило, протекает в одной из трех форм (все зависит от того, какой синдром преобладает):
- энцефалитическая;
- тифоподобная;
- смешанная форма.
Острый токсоплазмоз длится обычно не более 7 дней. Затем может переходить в хроническую форму.
Приобретенный токсоплазмоз. Симптомы и лечение
Хронический токсоплазмоз (приобретенная форма) развивается как первично-хроническое или вторично-хроническое заболевание и характеризуется длительным течением (на протяжении многих лет), с периодами обострения и ремиссии. При данной форме болезни наблюдается длительное повышение температуры тела до 37,5 °C, которое не устраняется приемом жаропонижающих средств. Симптомы заражения токсоплазмозом у больных проявляются раздражительностью, снижением памяти, неоправданными страхами, нарушением сна, увеличением лимфоузлов, ноющими болями в животе, запорами, тошнотой. В мышцах можно прощупать уплотнения, иногда там возникают кальцификаты, часто развивается вегетососудистая дистония, нарушения эндокринной системы (расстройства менструального цикла, импотенция), наблюдается гиперчувствительность к свету и звуковым раздражителям, частая перемена настроения, раздражительность. Следует отметить, что приобретенный хронический токсоплазмоз (симптомы заболевания) проявляется по прошествии от 2—8 недель после инфицирования до нескольких месяцев.
Однако в подавляющем большинстве заболевание носит скрытый (бессимптомный) характер (латентная форма). Чаще встречается первично-латентная форма, реже – вторично-латентная, которая является последствием острой формы или рецидива хронической. Такое течение болезни возможно выявить только путем серологических исследований.
Ошибочно полагать, что если в большинстве случаев заболевание приобретает латентную форму, ему не стоит уделять должного внимания и остерегаться. Токсоплазмоз, симптомы и лечение заболевания – весьма важная тема в медицине, потому как, к сожалению, латентная и хроническая формы болезни также могут принимать тяжелое течение, что встречается на фоне беременности, стресса, при иммунодефиците. Токсоплазмоз – частая причина смерти больных ВИЧ/СПИДом.
Тактика лечения зависит от характера заболевания и наличия осложнений. Обязательной терапии подлежит острый токсоплазмоз, а также инаппарантный токсоплазмоз у беременных женщин.
Часто назначается «Ровамицин», «Бисептол». Терапия состоит из 2–3 циклов, между которыми показан прием фолиевой кислоты. Возможно использование комбинированных препаратов: «Потесептила», «Бисептола». В случае если у пациента выявлена непереносимость указанных медикаментозных препаратов, возможна внутривенная или капельная терапия «Бисептолом».
Если у пациента выражен иммунодефицит, тогда совместно с этиотропной терапией назначаются иммунотропный препарат «Циклоферон» и гормональные препараты «Тактивин», «Декарис».
Совместно с этим могут применяться «Вобэнзим», «Флогэнзим» и пребиотики для поддержания в норме микрофлоры кишечника.
Диагностика токсоплазмоза. Виды
Токсоплазмоз – специфическое заболевание, потому как медицине не известны симптомы, описывающие только токсоплазмоз. Кроме того, заболевание часто поражает не весь организм в целом, а отдельные органы, что затрудняет диагностику и позволяет только предположить диагноз.
В лабораторной диагностике токсоплазмоза выделяют:
- паразитологические исследования;
- иммунологические исследования.
Паразитологические методы основаны на биопробах, к которым, например, можно отнести микроскопию мазков, взятых с пораженных органов (миндалин), клеток или тканей лимфоузлов, головного мозга, или мазков из осадка спинно-мозговой жидкости, крови. Вследствие технических сложностей при проведении исследований эта методика не получила широкого распространения.
Иммунологические методы, основанные на серологических исследованиях, очень чувствительны. С их помощью определяют состояние инфицированности и заболеваемости. К методам серологической диагностики относятся:
- РСК – реакция связывания комплемента;
- РНИФ – реакция непрямой иммунофлюоресценции;
- ИФА – иммуноферментный анализ.
Во время беременности
Как отмечалось ранее, токсоплазмоз – заболевание, о котором следует помнить при планировании и во время беременности, потому как болезнь вызывает развитие патологий плода и приводит к смерти новорожденных. Лучше исключить в этот период любые контакты с животными. А при подготовке к беременности и во время нее женщинам предлагается сдать анализ крови на токсоплазмоз при первичном обращении.
Для беременных, пробы которых оказались положительными, последующее лечение и мониторинг за состоянием антител не назначаются. При отрицательных пробах женщин отправляют на повторное обследование, как правило, во втором и третьем триместрах беременности. Если в этом случае пробы дают положительный результат, можно говорить о постановке диагноза «токсоплазмоз». Эти беременные входят в группу риска, за их здоровьем при появлении каких-либо симптомов, например, увеличении лимфатических узлов или нарастании титра антител, будут наблюдать инфекционист и паразитолог, они будут подбирать тактику лечения. В случае крайней необходимости специфическое лечение могут назначить, но только со второго триместра беременности. При возникновении острого токсоплазмоза на небольших сроках (до трех месяцев) беременность прерывают. Поэтому малейшие симптомы токсоплазмоза у беременных – это повод незамедлительно обратиться к врачу.
Врожденный токсоплазмоз у детей. Диагностика
Диагностика врожденного токсоплазмоза ребенка предполагает обследование матери: акушерский анамнез, результаты серологических исследований, рентгенография черепа. По статистике 20–30% женщин являются здоровыми носителями антител, и им не требуется терапия. Однако остальные 70–80% с результатами отрицательных серореакций попадают в группу риска, и им необходимо повторное обследование. В течение первого года жизни малыша проводятся серологические исследования и матери, и ребенка в динамике. Положительные результаты анализа в течение первых трех месяцев жизни малыша — еще не основание, чтобы ставить диагноз «токсоплазмоз» ребенку. Токсоплазмоз у детей (симптомы болезни) может проявиться не сразу, поэтому мониторинг состояния здоровья малыша проводится в последующие месяцы его жизни.
Лечение токсоплазмоза медикаментами показано не всегда и не всем. Например, носители токсоплазмы не нуждаются в терапии. При обнаружении первичного токсоплазмоза у беременной женщины на малых сроках ей предлагают сделать аборт по медицинским показаниям. Однако в любом случае симптомы заражения токсоплазмозом у человека, описанные выше, должны стать сигналом к немедленному обращению за медицинской помощью к специалисту, который определит необходимость лечения и подберет нужные препараты. Лечение антибактериальными препаратами назначают больным детям и людям с очень слабым иммунитетом. Часто препараты могут комбинироваться. Хронический токсоплазмоз очень плохо поддается лечению. Терапия проводится на основе не только антибиотиков, но и препаратов, повышающих иммунные свойства организма.
Действие токсоплазмоза на внутренние органы человека
Как уже отмечалось ранее, к поражению различных внутренних органов организма может приводить токсоплазмоз. Симптомы у взрослых весьма разнообразны. Так, например, если страдает сердечно-сосудистая система, у больных наблюдаются давящие боли в области сердца, нарушения сердечного ритма, скачки артериального давления. При поражении желудочно-кишечного тракта могут появиться сухость во рту, снижение аппетита, тупые боли и вздутие живота. Расстройства эндокринной системы у женщин могут приводить даже к невынашиванию беременности. При поражении опорно-двигательного аппарата возникают характерные мышечные боли в голени, бедрах, пояснице, реже — в мышцах спины, шеи, рук. Боли могут быть настолько выражены, что больному будет весьма непросто выполнять любые движения. Поэтому лечение проводится в соответствии с результатами функциональной диагностики различных систем организма.
Резюмируя все вышесказанное, хочется добавить, что не только женщинам нужно держать на контроле состояние своего здоровья – и при планировании, и во время беременности проходить обследование на токсоплазмоз. Симптомы у мужчин – это также повод задуматься о своем здоровье. К тому же человек, который болен токсоплазмозом, не опасен для окружающих, течение болезни не заразное. Поэтому таких больных не изолируют, их лечение проводят амбулаторно.
Токсоплазмоз развивается под влиянием паразитов, которые переходят к человеку от животных, особенно от домашних питомцев. Заболевание приводит к осложнениям, которые затрагивают нервную систему, а также лимфатические узлы, печень и селезенку. Чтобы лечить недуг, требуется знать, какие при токсоплазмозе симптомы у человека.
Как происходит заражение
Что такое токсоплазмоз? Это заболевание характерно преимущественно для стран с теплым климатом, в России оно встречается редко. Тем не менее, это серьезная протозойная инфекция, которая служит причиной серьезных осложнений у людей. Возбудителем токсоплазмоза являются простейшие микроорганизмы отряда кокцидий. Они размножаются в организме животных, преимущественно семейства кошачьих. Они и являются источником инфекции. Гельминты попадают во внешнюю среду вместе с фекалиями, слюной, мочой. Во внешней среде цисты токсоплазм сохраняются очень долгое время — до двух лет.
Заразиться токсоплазмозом можно разными путями. Чаще всего это инфицирование происходит алиментарным путем, а именно, фекально-оральным. Есть риск заражения через кожу и слизистые ткани. Инфекцию могут занести кровососущие насекомые во время укуса. Болезнь переходит от беременной женщины к плоду через плацентарный барьер.
Риск заражения повышают следующие факторы:
- недостаточная термическая обработка мясных продуктов;
- употребление в почву грязных овощей и зелени;
- переливание крови от больного человека.
Зараженный человек не представляет опасности.
Заболевание распространено в странах с теплым климатом, но и в России диагностируют токсоплазмоз, что говорит о риске заражения.
В группу риска входят люди, чья профессиональная деятельность связана с животными. Это и ветеринары, и работники мясокомбинатов.
Путь заражения определяет вид заболевания. Различают врожденный и приобретенный варианты токсоплазмоза.
Токсоплазмы в организме человека
Первичное место обитания токсоплазм — кишечник. Отсюда они через лимфу и кровь мигрируют по всему организму. Если человек здоров и у него хороший иммунитет, то размножаться паразиты не станут, они образуют псевдоцисты, которые будут десятилетиями находиться в клетках организма и никак не проявлять себя. В этом случае человек становится носителем токсоплазмоза, недуг не требует лечения.
При слабой защитной функции организма, паразиты начинают активно размножаться. Этот процесс сопровождается воспалениями во внутренних органах и нарушениями их функций. Первые симптомы болезни начинают проявляться через несколько недель после заражения.
Врожденный токсоплазмоз
Недуг передается от зараженной матери к эмбриону через плаценту. Если токсоплазмоз перешел к плоду в течение первого или второго триместра беременности, то неизбежен летальный исход плода. Если поражение произошло в конце беременности, то малыш родится с серьезными патологиями.
Внутриутробный вариант заболевания характеризуется острой формой. Токсоплазмоз поражает преимущественно головной мозг. У больного токсоплазмозом симптомы будут такие:
- эпилептические припадки;
- судороги;
- абсцессы головного мозга;
- расстройства сознания.
У младенца диагностируют гидроцефалию, воспаление глазных сосудов, обнаруживают кальцификаты в головном мозге. У ребенка может развиться желтуха. Болезнь характеризуется увеличением печени и селезенки.
Врожденный токсоплазмоз является причиной умственной отсталости. Очень часто дети с таким диагнозом не доживают до 5 лет.
С помощью современных методов лечения можно избежать смертельного исхода. В настоящее время с помощью правильно подобранной терапии можно добиться значительного улучшения, а в некоторых случаях даже полного выздоровления ребенка, останутся лишь некоторые незначительные отклонения в развитии.
У зараженной женщины вырабатываются антитела к токсоплазмозу, последующая беременность не будет угрожать плоду.
Приобретенный токсоплазмоз
Приобретенный токсоплазм может длиться на протяжении нескольких лет, периодически вызывая обострения, вместе с тем, болезнь может не проявиться. Симптомы заражения проявляются следующими недомоганиями:
- повышенная возбудимость;
- ухудшение качества памяти и мыслительных процессов;
- бессонница;
- тревожность;
- расстройства желудка;
- тошнота;
- увеличение лимфатических узлов.
Очень часто при диагнозе токсполазмоз симптомов у человека может не быть. Наличие недуга можно определить только с помощью серологического исследования.
Симптоматика заболевания связана с тем, в каком органе развивается недуг:
- при поражении сердечнососудистой системы у человека появляются боли в области сердца;
- если заражен желудочно-кишечный тракт, то больного будут мучить боли и вздутие живота, появляются расстройства пищеварения;
- поражение опорно-двигательного аппарата сопровождается мышечными болями, которые затрудняют движение.
В периоды обострения у больного повышается температура, появляются судороги и рвота. Для острой формы характерны следующие симптомы:
- головная боль;
- мышечная боль;
- эндокардит — поражение оболочки сердца;
- воспаление сетчатки глаза;
- помутнение глазного хрусталика;
- проблемы с печенью: увеличение печени и селезенки.
Острая форма токсоплазмоза длится неделю, затем она приобретает хроническую форму. При хроническом варианте заболевания проявление признаков токсоплазмоза у человека очень слабое, симптомы интенсивно проявляются только в острой форме.
Диагностика
Выявить токсоплазмоз у человека достаточно сложно. Его симптомы не всегда очевидны. Диагностика осложнена еще и тем, что заболевание поражает не весь организм, а только некоторые внутренние органы.
Выявлять недуг можно с помощью следующих диагностических методов:
- лабораторные исследования, которые включают в себя паразитологическую и иммунологическую диагностику;
- магнито-резонансная терапия;
- компьютерная томография.
Выявленный тип заболевания поможет в определении курса лечения.
Паразитологические методы заключаются в заборе материала, взятого с тканей пораженных органов: миндалин, лимфоузлов, также исследованию подвергается осадок спинно-мозговой жидкости и кровь. К такому методу диагностики прибегают крайне редко.
Иммунологические методы предполагают серологические исследования, которые позволяют определить степень сложности заболевания. В группу иммунологических методов входят внутрикожные пробы, чтобы выявить состояние инфицирования.
Обнаруженный токсоплазмоз требует принятия терапевтических мер.
Лечение токсоплазмоза
Лечить болезнь токсоплазмоз назначают не всем. Если человек является носителем токспоплазмоза, терапия не проводится.
Острое течение заболевания требует незамедлительного лечения. На этом этапе болезнь лечат химиотерапевтическими средствами. Для этого применяют:
Больному назначают антибактериальные препараты:
Хроническая форма токспоплазмоза лечится иными методами. Химиотерапевтические средства не приносят желаемого результата. Лечить хроническую форму значительно сложнее. В данном случае потребуется гипосенсибилизирующая и иммуномоделирующая терапия. Больной должен укреплять иммунитет с помощью витаминов. Левамизол помогает справиться инфекцией.
Народные методы
При остром течении болезни народные методы малоэффективны, а вот терапевтический курс лечения хронической формы можно дополнить рецептами народной медицины.
Заболевание токсоплазмоз можно лечить настоями лекарственных растений. Для приготовления берут чайную ложку сырья и стакан кипятка. Настаивают средство в течение 45 минут, предварительно подержав на водяной бане. В качестве сырья берут следующие травы:
- бешеный огурец;
- восковник;
- семена желтушника.
Готовый настой пьют по одной столовой ложке в течение дня перед каждым приемом пищи.
Среди лекарственных трав, которые помогают при токсоплазмозе, можно отметить:
- корень купены;
- молочай;
- омелу;
- черный паслен;
- крестовник.
Перед тем, как приступить к лечению народными методами, нужно посоветоваться с врачом.
Чтобы предотвратить инфицирование, необходимо знать, что такое токсоплазмоз, как проявляется токсоплазмоз. Важно соблюдать гигиену, не употреблять плохо проваренное мясо, мыть руки после контакта с домашними животными. Следует не забывать, что причины заражения связаны с домашними питомцами. Не стоит целовать кошек, а после уборки кошачьего туалета, нужно тщательно мыть руки. Как лечить токсплазмоз, что следует пить, подскажет лечащий врач. Прогноз заболевания благоприятный и лишь у людей с серьезными проблемами с функционированием иммунной системы, возможен летальный исход.
Из видео вы узнаете, что такое токсоплазмоз:
Токсоплазмы при оптической микроскопии




