Заболевание, вызываемое деятельностью в организме человека паразита Toxoplasma gondii – это токсоплазмоз. Симптомы у людей вызывает паразит, который подвижен, при рассмотрении с помощью микроскопа имеет овальную или округлую форму, похож на полумесяц или дольку цитруса.
Пути заражения токсоплазмой
Существует несколько путей заражения человека паразитом:
- От животных. Известно, что токсоплазмы и следы их активности обнаружены у 200 видов млекопитающих и 100 видов птиц. Инфицирование человека происходит вследствие контакта человека с животными.
- Вследствие употребления в пищу немытых овощей и фруктов, термически необработанного (недостаточно обработанного) мяса.
- Токсоплазма может попасть в кровь человека после укусов насекомых или в открытые раны на коже.
- Внутриутробное заражение – от беременной женщины будущему ребенку.
- Вследствие переливания крови или пересадки органов.
Наиболее распространенный путь заражения человека – контакт с домашними животными, преимущественно с кошками. В их организме происходит половое созревание и размножение паразита. Животные выделяют возбудителя с мочой, слюной, молоком, в виде цист во внешнюю среду с фекалиями. При этом цисты токсоплазм, которые находятся в мясных продуктах, недолго сохраняют свою жизнеспособность, быстро погибают при термической обработке или замораживании. А вот паразиты, попадающие во внешнюю среду с фекалиями, сохраняют свою жизнеспособность до 2 лет.
Распространение токсоплазмы в организме человека
Однако на фоне сниженного иммунитета токсоплазма будет активно размножаться в организме и, попадая во внутренние органы, вызывать в них воспалительные процессы, приводить к сбою в работе множественных функциональных систем (нервной системы, сетчатки глаз, печени, миокарда). У части больных может наблюдаться вялотекущий хронический токсоплазмоз, симптомы которого могут быть практически незаметными для человека. Но бывают и редкие случаи с острым, тяжелым течением болезни, которые требуют диагностики и лечения. Наиболее грубые морфологические изменения нервной системы происходят у детей. К сожалению, детский организм в большей степени подвержен воздействию болезни и часто поражение ЦНС проявляется как токсоплазмоз головного мозга. Симптомы болезни будут рассмотрены далее.
В зависимости от того, каким путем возбудитель попадает в организм человека, различают:
- врожденный токсоплазмоз;
- приобретенный токсоплазмоз.
Следует сразу отметить, что симптомы врожденного и приобретенного токсоплазмоза могут иметь существенные различия.
Токсоплазмоз: симптомы у людей в первые годы жизни
Врожденный токсоплазмоз – это заболевание, которое поражает ребенка еще в утробе матери, в период беременности женщины. Токсоплазма проникает через плаценту и вызывает болезнь плода. Если инфицирование происходит в первом или во втором триместре беременности, плод погибает по причине несовместимых с жизнью патологий развития. Если у женщины выявлен токсоплазмоз во время беременности на больших сроках, ребенок рождается с тяжелыми пороками, приводящими часто к функциональным нарушениям и вызывающими токсоплазмоз головного мозга. Симптомы часто могут свидетельствовать о менингоэнцефалите, выражающемся в эпилептических припадках и судорогах, нарушениях координации, абсцессах головного мозга, расстройстве сознания. Иногда возникают поражения спинного мозга. Токсоплазмоз поражает плод только единожды, последующие беременности будут защищены антителами матери, выработанными иммунной системой.
Токсоплазмоз протекает внутриутробно и приводит к возникновению:
- гидроцефалии, вызывающей увеличение размеров головы, истончение костей черепа;
- воспаления сосудов и сетчатки глаз (с возможным поражением макулы) – хориоретинита;
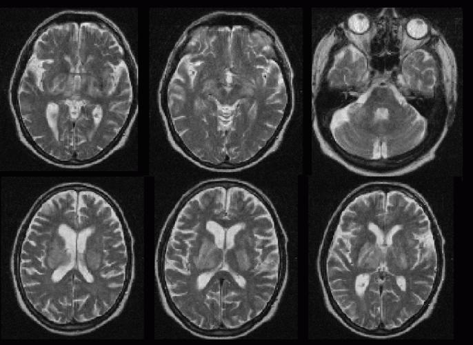
- кальцификатов в коре головного мозга (обнаруживаются с помощью КТ и МРТ).
Психомоторное возбуждение и галлюцинации, частая умственная отсталость – вот к чему приводит врожденный токсоплазмоз у детей. Симптомы заболевания могут также проявляться увеличением печени и селезенки. До недавнего времени считалось, что дети с врожденным токсоплазмозом не доживают до пятилетнего возраста, умирают в первые годы жизни. Однако сегодня существует возможность стабилизировать инфекцию. Не исключено даже полное выздоровление с некоторыми остаточными проявлениями. Многое зависит от степени поражения нервной системы.
Формы токсоплазмоза. Осложнения
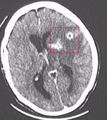
Сначала рассмотрим подробнее, к чему приводит запущенный токсоплазмоз. Симптомы у человека (фото на пленке посредством МРТ в разрезе) осложненного течения болезни в виде образований в мозговых оболочках просматриваются на нижеприведенном рисунке. Зона поражения обозначена красным квадратом, и она свидетельствует о развитии гнойного менингоэнцефалита. Этому состоянию могут сопутствовать осложнения — слепота, истощение, паралич. Смерть наступает от обширного и стремительно развивающегося поражения головного мозга.
Следует отметить, что токсоплазмоз мозга (симптомы и морфологические признаки) проявляется весьма разнообразно. Если проводить микроскопическое исследование, то наиболее характерными будут рассеянные по головному и спинному мозгу гранулемы, которые состоят из больших эпителиоидных клеток, лимфоцитов. Гранулемы заключают в себе паразитов и окружены отеками с очагами некроза.
Помимо врожденного токсоплазмоза у взрослого населения может появляться приобретенный токсоплазмоз. Симптомы у людей свидетельствуют об одной из трех форм течения болезни:
- острая форма;
- хроническая форма;
- латентная форма.
Острая форма токсоплазмоза встречается нечасто, ею страдают примерно 0,2—0,3% больных, лица с крайне ослабленным иммунитетом (например, ВИЧ-инфицированные). Инкубационный период заболевания длится от 5 до 23 дней.
Как проявляется острый токсоплазмоз
С высокой температуры, судорог и рвоты начинается острый токсоплазмоз. Симптомы у взрослых могут выражаться в сыпи или пневмонии. Кроме того, далее к этим могут присоединиться остальные признаки болезни в виде следующих симптомов:
- частая утомляемость, озноб;
- боль в суставах, слабость в мышцах, головная боль;
- увеличение лимфоузлов (преимущественно на шее);
- увеличенные печень и селезенка, гепатит;
- энцефалит, поражение оболочки сердца (эндокардит);
- поражение глаз — помутнения хрусталика, воспаление сетчатки и сосудистой оболочки глаза.
Следует заметить, что среди всех прочих симптомов, поражение глаз может в большей степени свидетельствовать о наличии в организме токсоплазмы.
Острый токсоплазмоз, как правило, протекает в одной из трех форм (все зависит от того, какой синдром преобладает):
- энцефалитическая;
- тифоподобная;
- смешанная форма.
Острый токсоплазмоз длится обычно не более 7 дней. Затем может переходить в хроническую форму.
Приобретенный токсоплазмоз. Симптомы и лечение
Хронический токсоплазмоз (приобретенная форма) развивается как первично-хроническое или вторично-хроническое заболевание и характеризуется длительным течением (на протяжении многих лет), с периодами обострения и ремиссии. При данной форме болезни наблюдается длительное повышение температуры тела до 37,5 °C, которое не устраняется приемом жаропонижающих средств. Симптомы заражения токсоплазмозом у больных проявляются раздражительностью, снижением памяти, неоправданными страхами, нарушением сна, увеличением лимфоузлов, ноющими болями в животе, запорами, тошнотой. В мышцах можно прощупать уплотнения, иногда там возникают кальцификаты, часто развивается вегетососудистая дистония, нарушения эндокринной системы (расстройства менструального цикла, импотенция), наблюдается гиперчувствительность к свету и звуковым раздражителям, частая перемена настроения, раздражительность. Следует отметить, что приобретенный хронический токсоплазмоз (симптомы заболевания) проявляется по прошествии от 2—8 недель после инфицирования до нескольких месяцев.
Однако в подавляющем большинстве заболевание носит скрытый (бессимптомный) характер (латентная форма). Чаще встречается первично-латентная форма, реже – вторично-латентная, которая является последствием острой формы или рецидива хронической. Такое течение болезни возможно выявить только путем серологических исследований.
Ошибочно полагать, что если в большинстве случаев заболевание приобретает латентную форму, ему не стоит уделять должного внимания и остерегаться. Токсоплазмоз, симптомы и лечение заболевания – весьма важная тема в медицине, потому как, к сожалению, латентная и хроническая формы болезни также могут принимать тяжелое течение, что встречается на фоне беременности, стресса, при иммунодефиците. Токсоплазмоз – частая причина смерти больных ВИЧ/СПИДом.
Тактика лечения зависит от характера заболевания и наличия осложнений. Обязательной терапии подлежит острый токсоплазмоз, а также инаппарантный токсоплазмоз у беременных женщин.
Часто назначается «Ровамицин», «Бисептол». Терапия состоит из 2–3 циклов, между которыми показан прием фолиевой кислоты. Возможно использование комбинированных препаратов: «Потесептила», «Бисептола». В случае если у пациента выявлена непереносимость указанных медикаментозных препаратов, возможна внутривенная или капельная терапия «Бисептолом».
Если у пациента выражен иммунодефицит, тогда совместно с этиотропной терапией назначаются иммунотропный препарат «Циклоферон» и гормональные препараты «Тактивин», «Декарис».
Совместно с этим могут применяться «Вобэнзим», «Флогэнзим» и пребиотики для поддержания в норме микрофлоры кишечника.
Диагностика токсоплазмоза. Виды
Токсоплазмоз – специфическое заболевание, потому как медицине не известны симптомы, описывающие только токсоплазмоз. Кроме того, заболевание часто поражает не весь организм в целом, а отдельные органы, что затрудняет диагностику и позволяет только предположить диагноз.
В лабораторной диагностике токсоплазмоза выделяют:
- паразитологические исследования;
- иммунологические исследования.
Паразитологические методы основаны на биопробах, к которым, например, можно отнести микроскопию мазков, взятых с пораженных органов (миндалин), клеток или тканей лимфоузлов, головного мозга, или мазков из осадка спинно-мозговой жидкости, крови. Вследствие технических сложностей при проведении исследований эта методика не получила широкого распространения.
Иммунологические методы, основанные на серологических исследованиях, очень чувствительны. С их помощью определяют состояние инфицированности и заболеваемости. К методам серологической диагностики относятся:
- РСК – реакция связывания комплемента;
- РНИФ – реакция непрямой иммунофлюоресценции;
- ИФА – иммуноферментный анализ.
Во время беременности
Как отмечалось ранее, токсоплазмоз – заболевание, о котором следует помнить при планировании и во время беременности, потому как болезнь вызывает развитие патологий плода и приводит к смерти новорожденных. Лучше исключить в этот период любые контакты с животными. А при подготовке к беременности и во время нее женщинам предлагается сдать анализ крови на токсоплазмоз при первичном обращении.
Для беременных, пробы которых оказались положительными, последующее лечение и мониторинг за состоянием антител не назначаются. При отрицательных пробах женщин отправляют на повторное обследование, как правило, во втором и третьем триместрах беременности. Если в этом случае пробы дают положительный результат, можно говорить о постановке диагноза «токсоплазмоз». Эти беременные входят в группу риска, за их здоровьем при появлении каких-либо симптомов, например, увеличении лимфатических узлов или нарастании титра антител, будут наблюдать инфекционист и паразитолог, они будут подбирать тактику лечения. В случае крайней необходимости специфическое лечение могут назначить, но только со второго триместра беременности. При возникновении острого токсоплазмоза на небольших сроках (до трех месяцев) беременность прерывают. Поэтому малейшие симптомы токсоплазмоза у беременных – это повод незамедлительно обратиться к врачу.
Врожденный токсоплазмоз у детей. Диагностика
Диагностика врожденного токсоплазмоза ребенка предполагает обследование матери: акушерский анамнез, результаты серологических исследований, рентгенография черепа. По статистике 20–30% женщин являются здоровыми носителями антител, и им не требуется терапия. Однако остальные 70–80% с результатами отрицательных серореакций попадают в группу риска, и им необходимо повторное обследование. В течение первого года жизни малыша проводятся серологические исследования и матери, и ребенка в динамике. Положительные результаты анализа в течение первых трех месяцев жизни малыша — еще не основание, чтобы ставить диагноз «токсоплазмоз» ребенку. Токсоплазмоз у детей (симптомы болезни) может проявиться не сразу, поэтому мониторинг состояния здоровья малыша проводится в последующие месяцы его жизни.
Лечение токсоплазмоза медикаментами показано не всегда и не всем. Например, носители токсоплазмы не нуждаются в терапии. При обнаружении первичного токсоплазмоза у беременной женщины на малых сроках ей предлагают сделать аборт по медицинским показаниям. Однако в любом случае симптомы заражения токсоплазмозом у человека, описанные выше, должны стать сигналом к немедленному обращению за медицинской помощью к специалисту, который определит необходимость лечения и подберет нужные препараты. Лечение антибактериальными препаратами назначают больным детям и людям с очень слабым иммунитетом. Часто препараты могут комбинироваться. Хронический токсоплазмоз очень плохо поддается лечению. Терапия проводится на основе не только антибиотиков, но и препаратов, повышающих иммунные свойства организма.
Действие токсоплазмоза на внутренние органы человека
Как уже отмечалось ранее, к поражению различных внутренних органов организма может приводить токсоплазмоз. Симптомы у взрослых весьма разнообразны. Так, например, если страдает сердечно-сосудистая система, у больных наблюдаются давящие боли в области сердца, нарушения сердечного ритма, скачки артериального давления. При поражении желудочно-кишечного тракта могут появиться сухость во рту, снижение аппетита, тупые боли и вздутие живота. Расстройства эндокринной системы у женщин могут приводить даже к невынашиванию беременности. При поражении опорно-двигательного аппарата возникают характерные мышечные боли в голени, бедрах, пояснице, реже — в мышцах спины, шеи, рук. Боли могут быть настолько выражены, что больному будет весьма непросто выполнять любые движения. Поэтому лечение проводится в соответствии с результатами функциональной диагностики различных систем организма.
Резюмируя все вышесказанное, хочется добавить, что не только женщинам нужно держать на контроле состояние своего здоровья – и при планировании, и во время беременности проходить обследование на токсоплазмоз. Симптомы у мужчин – это также повод задуматься о своем здоровье. К тому же человек, который болен токсоплазмозом, не опасен для окружающих, течение болезни не заразное. Поэтому таких больных не изолируют, их лечение проводят амбулаторно.
Известно, что токсоплазмоз – это болезнь инфекционного характера, возбудителями которой являются паразиты. У нее обширный перечень симптомов и проявлений. Особенно опасен токсоплазмоз для женщины и ее будущего ребенка в период беременности. Каждый человек должен знать обо всех особенностях этого недуга.
Как передается токсоплазмоз
Возбудителем болезни является паразит токсоплазма. Он размножается в кишечнике животных половым и бесполым путями. В первом случае образуются цисты, которые, попадая в окружающую среду, передают инфекцию другим организмам. Половое размножение паразита возможно только в кишечнике домашних и диких кошек, хотя обитает он во множестве птиц, животных.
В большинстве случаев люди подхватывают инфекцию от больных питомцев, но это не значит, что заразиться можно только так. Узнать о том, что такое токсоплазмоз, на личном опыте рискуют те, кто ест сырое или недожаренное мясо. Опасность представляет уход за зараженными кошками, другими животными. Токсоплазмоз у беременных опасен возможностью заражения плода. Прививки от заболевания нет.
Формы течения болезни
Токсоплазмоз может быть врожденным и приобретенным, мужчин он поражает реже. При болезни второго типа выделяют три формы течения, о которых подробнее сказано в таблице:
- инкубационный период – несколько недель;
- болезнь протекает тяжело, без своевременного лечения способна привести к смерти;
- продолжительность составляет от недели до нескольких месяцев;
- полноценного выздоровления не происходит, у взрослого человека остаются патологии различной степени тяжести.
- для этой формы характерны постоянные обострения, но протекает она почти без симптомов;
- ремиссии неполные, непродолжительные;
- обострения возникают при ОРВИ, гриппе, приеме иммунодепрессантов, цитостатиков.
- полное отсутствие симптомов;
- токсоплазмоз невозможно выявить.
Симптомы и признаки токсоплазмоза у человека
Проявления болезни зависят от ее формы. Вы уже знаете, что такое токсоплазмоз, поэтому должны понимать, что симптомы есть только у острого и хронического типов. Инфекция в разной степени поражает все ткани и органы, поэтому перечень признаков ее наличия в организме зависит от того, какие из них она повредила больше всего. Отдельно стоит сказать о врожденном заболевании. Если ребенок с ним не умирает в ходе беременности, то рождается с физическими уродствами, поражением всех систем организма.
Что такое острый токсоплазмоз и какие у него симптомы:
- В инкубационном периоде человек может жаловаться на слабость, общее недомогание, мышечные боли.
- Увеличиваются лимфоузлы. Как правило, шишки появляются на шее, затылке, иногда в подмышках, паху. Они болят, но не сильно. В размере не превышают полутора сантиметров.
- Часто проявляются симптомы менингоэнцефалита или энцефалита.
- На теле ненадолго появляется сыпь, пятна.
- Если мышечная ткань поражена, то возможно развитие миозитов, миокардита.
- Вероятно увеличение печени, селезенки.
- Расстройства опорно-двигательного аппарата и зрения.
- Голова кружится и болит.
Симптомы хронического токсоплазмоза:
- Температура возрастает до субфебрильной (выше 37 градусов) и держится несколько месяцев подряд. Возможен озноб.
- Человек чувствует себя слабым и бессильным даже по утрам. У него слабеет память, развивается апатия. В результате больной становится нервным и раздражительным.
- Появляется тупая головная боль.
- Мышцы и суставы болят, что мешает двигаться.
- Увеличиваются лимфоузлы, печень и селезенка тоже становятся больше.
- Если инфекция проникла в органы ЖКТ, то болит живот, падает аппетит.
- При поражении сердца падает давление, в области грудной клетки ощущается тупая боль.
- Развивается близорукость и очаговый хориоретинит.
- У женщин возникает аднексит. При этом воспалении гениталий развивается бесплодие.
Как вы успели заметить, перечень симптомов настолько широк, что токсоплазмоз трудно выявить и не спутать с другим заболеванием. По этой причине некоторые люди долгое время не обращаются к врачу или даже следуют неверной тактике лечения. Есть ряд признаков, совокупность которых может свидетельствовать о том, что вы подхватили токсоплазмоз у кошек:
- часто поднимается температура выше нормы, вас знобит;
- вы чувствуете себя слабым и вялым почти все время;
- на шее и затылке стали более выражены лимфоузлы;
- вас стали беспокоить печень, селезенка;
- вы ощущаете боль в суставах, мышцах;
- вы видите все хуже.
Как сдавать анализ на токсоплазмоз
Болезнь нельзя диагностировать только лишь после опроса пациента. Обязательно необходимо провести лабораторный анализ. В настоящее время есть разные методы. Вас могут попросить сдать кровь на токсоплазмоз, мочу. В некоторых случаях для проведения анализа делают забор околоплодных вод либо биопсию. Методы лабораторного исследования материала:
- Серологический. Проводят иммуноферментный анализ крови (ИФА) из вены, чтобы выявить, есть ли в организме человека антитела к токсоплазмозу. Получают расшифровку с отрицательными либо положительными показателями.
- Паразитарный. В забранных для анализа тканях выявляют наличие возбудителей болезни токсоплазм. Как правило, делают диагностику на полимеразную цепную реакцию (ПРЦ).
- Аппаратный. Проводится только при осложнении.
ИФА и ПРЦ – самые достоверные способы диагностики. Первый направлен на то, чтобы найти в крови антитела IgG и IgM. Точнее, выясняется их соотношение. Антитела группы IgM появляются в организме на начальном этапе болезни, а спустя месяц-другой исчезают. IgG к этому времени достигают максимальной концентрации. Впоследствии антитела IgM трансформируются и у человека вырабатывается иммунитет к токсоплазмозу. Мочу на ПРЦ сдают для того, чтобы подтвердить результаты ИФА, уточнить, как давно началась болезнь либо выработался иммунитет.
Как лечить токсоплазмоз у человека
Терапия не является обязательной только для носителей болезни. Острая форма требует незамедлительного лечения. Необходимость при хроническом токсоплазмозе определяется с учетом того, насколько выражены симптомы и какие органы поражены. Беременным женщинам при выявлении болезни обязательно нужно узнать, как вылечить токсоплазмоз у человека. Чтобы определить план терапии, принимают во внимание форму течения болезни, симптоматику, тяжесть поражения и осложнений.
Препараты, назначаемые при лечении токсоплазмоза:
- Антибиотики группы макролидов (Ровамицин), лекарства с пириметамином (Фансидар), сульфаниламиды (Бисептол).
- Иммунотропы (Ликопид, Циклоферон).
- Натуральные гормоны тимуса и синтетические заменители (Тактивин, Тималин, Тимоген).
Чем опасен токсоплазмоз при беременности
Болезни стоит опасаться всем женщинам, которые планируют стать мамами. Беременным следует не только выяснить, что же такое токсоплазмоз, но и сдать анализы на его наличие. Бороться с заболеванием можно, только если уже наступил второй триместр беременности. Если обнаружена тяжелая форма токсоплазмоза, то рекомендуется сделать аборт. Если инфекция проникнет к плоду, что случается в 15% случаев, то ребенок может не родиться вовсе либо появиться на свет с тяжелыми последствиями: гидроцефалией, хориоретинитом, гепатоспленомегалией, тромбоцитопенией, микрофтальмией.
| Токсоплазмоз | |
|---|---|
| Токсоплазмы при оптической микроскопии | |
| МКБ-10 | B 58 58. |
| МКБ-10-КМ | B58.9 и B58 |
| МКБ-9 | 130 130 |
| МКБ-9-КМ | 130.9 [1] [2] , 130 [1] [2] и 130.7 [2] |
| DiseasesDB | 13208 |
| MedlinePlus | 000637 |
| eMedicine | med/2294 |
| MeSH | D014123 и D014123 |
Токсоплазмоз — паразитарное заболевание человека и животных, вызываемое токсоплазмами Toxoplasma gondii, в подавляющем большинстве случаев протекающее бессимптомно [3] . Источник инвазии — различные виды (свыше 180) домашних и диких млекопитающих (кошки, собаки, кролики; хищники, травоядные, грызуны).
Содержание
Эпидемиология [ править | править код ]
До половины населения мира инфицировано токсоплазмозом [4] . В США носителями являются 23 % населения [5] , в России — около 20 % [6] , а в некоторых районах мира доля носителей достигает 95 % [7] .
Глобальная ежегодная заболеваемость врождённым токсоплазмозом оценивается на уровне 190 100 случаев. Высокие уровни заболевания были отмечены в Южной Америке, некоторых ближневосточных странах и странах с низким уровнем доходов [8] .
Пути заражения [ править | править код ]
Заражение человека происходит при употреблении мясных продуктов и яиц, не прошедших достаточную термическую обработку. Не исключена возможность заражения при попадании возбудителя на слизистые оболочки и повреждённые кожные покровы, трансмиссивным (см. Трансмиссивные болезни) и др. путём. Наблюдается и внутриутробное заражение. Факторы, которые могут способствовать появлению в организме паразита и повышают риск возникновения токсоплазмоза:
- контакт с заражёнными животными;
- использование в быту немытых после уборки кошачьего туалета или любого другого контакта с кошачьими экскрементами рук;
- употребление в пищу сырого или не до конца приготовленного мяса, особенно [источник не указан 384 дня] свинины, говядины, мяса ягнёнка или оленины;
- контакт с сырым или непрожаренным (непроваренным) мясом;
- пересадка органов или переливание крови (очень редко);
- наличие токсоплазмоза у родителей.
Клиническая картина [ править | править код ]
Различают врождённый и приобретённый (острый и хронический) токсоплазмоз. При врождённом токсоплазмозе наблюдаются гибель плода в утробе матери, смерть новорождённого в результате общей инфекции или (у оставшихся в живых) поражение нервной системы, глаз и других органов, олигофрения. Олигофрения при врождённом токсоплазмозе достигает тяжёлой степени и проявляется с первых месяцев жизни [9] .
Острая приобретённая форма протекает как тифоподобное заболевание (с высокой температурой, увеличением печени, селезёнки) либо с преимущественным поражением нервной системы (головная боль, судороги, рвота, параличи и др. [ чем? ] ). Чаще токсоплазмоз протекает хронически, с субфебрильной температурой, головной болью, увеличением лимфоузлов и печени, понижением работоспособности; может сопровождаться поражением глаз, сердца, нервной и других систем и органов. Токсоплазмоз может протекать и в латентной (скрытой) форме.
Диагностика [ править | править код ]
Основным методом диагностики заболевания является серологический.
Выполняется определение уровня иммуноглобулинов G с помощью ИФА или реакции непрямой флюоресценции.
Уровень антител достигает максимального уровня через 1—2 месяца после начала заболевания и впоследствии регистрируется неопределённо долго.
У пациентов с сероконверсией или четырёхкратным увеличением титра IgG определяют уровень специфических IgM для подтверждения наличия острой инфекции.
ИФА является методом выбора при анализе уровня IgM, с его помощью регистрируется рост их концентрации уже через 2 недели после инфицирования.
Пик концентрации антител достигается через месяц, исчезают они обычно через 6—9 месяцев, но в отдельных случаях могут периодически обнаруживаться в течение 2 и более лет, затрудняя дифференцировку острой и хронической форм инфекции.
Лечение [ править | править код ]
Обычные люди излечиваются от острой формы токсоплазмоза самостоятельно, без медикаментозного лечения. Беременные женщины и новорождённые нуждаются в лечении, однако следует понимать, что целью лечения является лишь устранение острой фазы и симптомов заболевания. Лицам с глазной формой заболевания следует лечиться у офтальмолога и получать препараты, назначаемые в зависимости от размеров поражения и его формы: острой или хронической (без прогрессирования). Лица с ослабленным иммунитетом (например с ВИЧ) должны получать лечение до устранения признаков заболевания, а пациенты в стадии СПИД получают лечение от токсоплазмоза пожизненно [10] .
Лечение обычно требуется только лицам с серьёзными проблемами со здоровьем, например, людям с ВИЧ, у которых количество CD4-лимфоцитов менее 200 клеток в мм³ крови, потому что болезнь обычно представляет опасность лишь когда иммунная система слаба. Препаратом выбора для предотвращения токсоплазмоза является Ко-тримоксазол (Бисептол), но он не подходит для лечения активной формы болезни. Новое исследование (май 2012 года) показывает перспективный способ лечения активной и латентной формы этого заболевания с помощью двух [ каких? ] противомалярийных препаратов класса ELQ (Endochin-like quinolones) [11] .
Острая форма [ править | править код ]
Следующие препараты показаны для лечения острого токсоплазмоза [12] :
- Пириметамин (Daraprim) — противомалярийное лекарство;
- Сульфадиазин (Argedin) — антибактериальный препарат из группы сульфаниламидов, используемый в сочетании с пириметамином для лечения токсоплазмоза;
- Комбинированная терапия обычно проводится с фолиевой кислотой для снижения риска тромбоцитопении.
- Комбинированная терапия является наиболее полезной при наличии ВИЧ.
Клиндамицин (Dalacin и другие) — полусинтетический антибиотик группы линкозамидов; Спирамицин (Doramycin и другие) — природный антибиотик из группы макролидов, используемый чаще всего для беременных женщин, с целью предотвратить заражение плода.
Другие антибиотики, такие как Миноциклин (Minolexin и другие), используются в качестве препаратов резерва, то есть в том случае, если обычные методы лечения не помогают или они по каким-то причинам противопоказаны.
Латентная форма [ править | править код ]
У людей с латентным токсоплазмозом цисты токсоплазмы устойчивы к лечению, так как антибиотики не достигают брадизиот в достаточной концентрации. Лекарства, предписанные для латентной формы токсоплазмоза:
- Атоваквон (Mepron) — антибиотик, который используется, чтобы убить цисты токсоплазмы у больных ВИЧ;
- Клиндамицин (Dalacin и другие) — полусинтетический антибиотик группы линкозамидов, который в сочетании с Атоваквоном кажется оптимальным при уничтожении цист токсоплазмы у мышей.
Врождённый токсоплазмоз [ править | править код ]
В том случае, если беременная женщина заболела острым токсоплазмозом, для определения, был ли заражён плод, может быть использован амниоцентез. Когда беременная женщина заболевает острым токсоплазмозом, есть примерно 30-процентная вероятность того, что тахизоиты токсоплазмы поразят ткани плаценты, а оттуда произойдёт и заражение плода [13] .
Если паразит ещё не достиг плода, Спирамицин может помочь предотвратить передачу через плаценту. Если плод был заражён, беременная женщина может лечиться Пириметамином и Сульфадиазином после первого триместра, с добавлением фолиевой кислоты. Это делается после первого триместра, так как Пириметамин обладает антифолатным эффектом, а отсутствие фолиевой кислоты в первом триместре может помешать формированию головного мозга плода и вызывает тромбоцитопению [14] . Заражение на более ранних сроках беременности коррелирует с ухудшением фетального и неонатального прогнозов [15] .
Прогноз [ править | править код ]
У лиц без иммунодефицита, как правило, благоприятный.
При заражении токсоплазмой при наличии беременности, либо менее чем за 3—9 месяцев до неё — прогноз негативный для плода. При заражении в первом триместре беременности существует большой риск появления отклонений, несовместимых с жизнью. При заражении во втором триместре — большая вероятность патологий мозга, нервной системы, органов зрения. При заражении в третьем триместре беременности высок шанс заражения ребёнка, однако последствия менее опасны и могут отсутствовать или проявляться в латентной форме [6] [16] [17] [18] .
Профилактика [ править | править код ]
Борьба с токсоплазмозом домашних животных, соблюдение санитарных правил при уходе за животными и обработке продуктов, тщательное обследование на токсоплазмоз беременных. Токсоплазма в мясе погибает при нагревании мяса до 67 °C или охлаждении до −13 °C [19] .




