В гинекологической практике очень часто встречаются грибковые заболевания. Опытные врачи знают, как выглядит молочница у женщин. Данное заболевание вызывается условно-патогенными микроскопическими грибками. Иначе оно называется вагинальным кандидозом. Молочница чаще всего поражает женщин. Кандидоз не представляет большой угрозы для больной, но при отсутствии своевременного лечения возможен переход молочницы в хроническую форму.
- Проявления молочницы у женщин
- Характер выделений при молочнице
Лечебная тактика при молочнице Инкубационный период кандидоза Молочница у детей Молочница: провоцирующие факторы Молочница: почему усиливается от антибиотиков Молочница: симптомы поражения кишечника Молочница: симптомы во рту Кандидозная паронихия у женщин: симптомы Когда и какие сдавать анализы при симптомах молочницы Как скоро уходит молочница после лечения
Проявления молочницы у женщин
Фото проявления молочницы у женщин
Не все знают, как проявляется молочница у женщин. Эта патология встречается как у молодых девушек, так и у взрослых женщин. Признаки болезни появляются на фоне снижения сопротивляемости организма. Причиной может быть длительное применение антибактериальных лекарств, гиповитаминоз, тяжелые соматические заболевания (пиелонефрит, гепатит), эндокринная патология (сахарный диабет), изменение микробного баланса. К предрасполагающим факторам относится неудовлетворительная интимная гигиена, переохлаждение, нерациональное питание. Молочница у женщин наиболее часто протекает в форме вульвовагинита и дерматита вульвы.
При вульвовагините в процесс вовлекается вульва (клитор, половые губы, преддверие влагалища) и слизистая влагалища. Пораженные половые органы представлены на фото 1. При дерматите поражаются только наружные половые органы. Наиболее часто наблюдаются следующие симптомы болезни:
- зуд в половых органах;
- отек;
- покраснение;
- появление на наружных половых органах белого налета;
- белые выделения из половых путей, напоминающие творог;
- наличие везикулярной сыпи;
- нервозность;
- лабильность настроения;
- неприятные ощущения во время половых сношений.
Заболевание за несколько лет может никак не проявиться. Изменения обнаруживаются при лабораторном исследовании и в процессе гинекологического осмотра. Частой жалобой женщин при обращении к врачу является зуд. Он становится сильнее тогда, когда женщина кладет одну ногу на другую. Вместо зуда может наблюдаться жжение. Признаки заболевания часто проявляются в виде отечности и покраснения половых губ. Покраснение половых губ показано на фото 2. Это может заметить сама женщина. При врачебном осмотре часто выявляется покраснение и отек слизистой влагалища.
Покраснение обусловлено расширением мелких сосудов. Это защитная реакция организма в ответ на размножение грибков и синтез ими токсинов.
При вульвовагините на половых губах может обнаруживаться налет белого цвета. Его появление обусловлено массовым размножением возбудителя инфекции. В области половых губ и преддверия влагалища могут появляться везикулы. Через некоторое время они вскрываются, а на их месте образуются мелкие эрозии и язвочки. К дополнительным симптомам молочницы у женщин относится нарушение сна, мацерация кожи в области наружных половых органов.
Характер выделений при молочнице
Фото молочницы у женщин
Молочница может проявляться специфическими выделениями из половых путей. Они имеют следующие особенности:
- белый цвет;
- нерезкий кислый запах (или отсутствие такового);
- схожесть с творогом по консистенции;
- наличие мелких комочков.
Эти выделения представляют собой смесь мицелия грибков рода кандида, лейкоцитов и клеток слизистого слоя. Выделения при кандидозе представлены на фото 3. Выделения при молочнице необходимо отличать от выделений при других заболеваниях половых органов (хламидиозе, трихомонозе). При трихомонозе выделения имеют желто-зеленый цвет и неприятный запах. Они пенятся. При хламидиозе в большинстве случаев выделения являются слизисто-гнойными. Цвет их белый или слегка желтоватый. Появление рыбного запаха может указывать на гарднереллез. При кандидозе половых органов количество выделяемого секрета увеличивается после половых контактов и принятия душа. Некоторые женщины отмечают увеличение количества выделений в ночное время.
Лечебная тактика при молочнице
Фотография, как выглядит молочница у женщин
Лечение молочницы лучше всего проводить на ранних стадиях. Лечебные мероприятия направлены на подавление активности грибков, устранение основных симптомов болезни и предупреждение осложнений. После того как молочница проявилась характерными выделениями, требуется обратиться к гинекологу и пройти обследование. Диагностика включает в себя взятие мазка из половых органов на микрофлору, взятие мазка из уретры, осмотр на акушерском кресле, проведение кольпоскопии, общие анализы. В случае развития хронического кандидоза возможно поражение других органов. Может развиться цистит, уретрит, цервицит.
Молочница при отсутствии осложнений лечится в амбулаторных условиях. Вначале проводится местное лечение. Оно предполагает введение вагинальных свечей и таблеток. Наиболее часто используются следующие средства: «Гино-травоген», «Пифамуцин», «Канестен», «Канизол», «Гинезол 7», «Клион-Д», «Полижинакс», «Тержинан». Длительность лечения определяет врач. Чаще всего она составляет 5-7 дней. Все эти средства обладают противогрибковой активностью и подавляют размножение микроорганизмов. В основе средств лежат следующие вещества: миконазол, флуконазол, нистатин, клотримазол.
Системная терапия при помощи пероральных средств (таблеток и капсул) проводится в случае неэффективности местной терапии.
С этой целью назначаются противогрибковые препараты внутрь. Наиболее часто применяются такие медикаменты, как «Ирунин», «Флюкостат», «Дифлюкан», «Микосист». При частых рецидивах молочницы в схему лечения включается физиотерапия, прием иммуностимуляторов. Для укрепления иммунитета требуется принимать витамины. Во время лечения следует отказаться от продуктов и блюд на основе дрожжей, а также от кондитерских изделий. Для восстановления микрофлоры назначается «Линекс», «Бифиформ», «Дюфалак», «Лактусан».
Молочница у женщин может протекать незаметно долгие годы. Основным признаком заболевания являются творожистые выделения.
Инкубационный период кандидоза
Молочница — заболевание, вызванное микроорганизмом, который имеется в организме каждого человека и является его составляющей естественной микрофлоры.
При снижении защитной функции иммунной системы, грибок начинает размножаться и паразитировать на органах мочеполовой системы.
Длительность бессимптомного течения зависит от иммунитета человека:
- если сильный – инкубационный период увеличивается;
- если ослабленный – скрытое течение заболевание длится недолго.
Первые признаки молочницы после заражения появляются уже через несколько дней. В среднем, это происходит на 3 — 5 день после инфицирования.
У некоторых пациентов могут отсутствовать первые симптомы кандидоза до 4 недель. Опасно это тем, что человек не подозревает о наличии у себя патологии и становится распространителем заболевания.
Грибок распространяется на уретральный тракт, что вызывает воспалительный процесс.
При отсутствии лечения и игнорировании первых признаков, Кандида поражает почки и предстательную железу.
Молочница у детей
Молочница у детей – частое явление, если мать ребенка является носителем заболевания.
Заражение может произойти:
- Внутриутробно;
- Во время родов;
- При игнорировании правил личной гигиены.
Организм ребенка не имеет сильный иммунитет, поэтому первые симптомы молочницы появляются практически сразу после инфицирования.
Молочница: провоцирующие факторы
Снижение иммунитета – является главной причиной появления кандидоза. Помимо этого, выделяют сопутствующие факторы, которые провоцируют заболевание:
Прием антибиотиков;
- Венерические заболевания;
- Употребление противозачаточных и гормональных препаратов;
- Нарушение работы пищеварительной или эндокринной системы;
- Беременность, менопауза;
- Синтетическое белье, использование ежедневных прокладок;
- Средства интимной гигиены, особенно антибактериальные;
- Переохлаждение организма, сбой гормонального фона;
- Ожирение;
- Несоблюдение норм личной гигиены или наоборот спринцевание антисептическими растворами;
- Акклиматизация, стрессы и переутомляемость.
Появление молочницы может спровоцировать неправильное питание или постоянное следование диетам.
Важно! Лечить молочницу не так уж сложно.
Главное – не игнорировать первые симптомы заболевания и вовремя обратиться к специалисту.
Молочница: почему усиливается от антибиотиков
Прием антибиотиков может спровоцировать появление молочницы у человека. Часто это возникает при неправильно подобранной терапии, длительном курсе, самостоятельном назначении дозы медикаментов.
Антибиотики способны не только бороться с болезнетворными микроорганизмами. Они губительны и для естественной микрофлоры человека.
В результате, у женщин появляется дисбиоз – нарушение состава нормальной микрофлоры влагалищной среды.
Если иммунная система человека сильная, прием антибиотиков никак не повлияет.
Снижение защитных функций организма является благоприятным фактором для размножения грибка.
Если гинеколог констатирует у пациента молочницу после приема антибиотиков, назначаются препараты, которые:
- Восстанавливают микрофлору;
- Повышают защитные функции иммунной системы;
- Восполняют дефицит витаминов.
После проведенного восстановительного лечения, необходимо сдать повторный анализ.
Молочница: симптомы поражения кишечника
Главный признак поражения кишечника – систематические болевые ощущения в области живота.
К дополнительным симптомам поражения кандидами кишечника являются:
- Вздутие;
- Тяжесть в животе;
- Появление кишечных спазмов;
- Понос;
- Наличие гноя или крови в кале;
- Присутствие боли и частые позывы к дефекации.
Нередко пациент может наблюдать незначительное повышение температуры тела и отсутствие аппетита.
На фоне данного заболевания у человека появляется нервозность, нарушается сон.
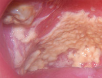
Молочница: симптомы во рту
Молочница ротовой полости – распространенное заболевание в любом возрасте.
У молодых и взрослых причиной могут стать:
- Оральный секс с инфицированным партнером;
- Поцелуи;
- Инфицирование через предметы личной гигиены.
У пожилых людей, кандидоз во рту встречается довольно часто. Связано это с использованием протезов. Нередко молочница во рту наблюдается у беременных женщин. На фоне сниженного иммунитета и гормонального сбоя, грибки с легкостью распространяются и паразитируют на слизистой ротовой полости.
Симптоматика кандидоза во рту:
Отек;
- Появление покраснений;
- Чрезмерная сухость ротовой полости;
- Белый налет на слизистой.
При отсутствии лечения, налет становится более явный, образуя консистенцию похожую на хлопья. Появляется боль при глотании, покраснения и заеды в уголках губ, жжение и постоянный зуд в ротовой полости.
Диагностируется заболевание при визуальном осмотре. В качестве подтверждения диагноза, врач направит сдать анализ – биоматериалом выступает в данном случае налет, который легко отделяется.
Кандидозная паронихия у женщин: симптомы
Кандидоз ногтей встречается в основном у женщин из-за:
- Частого мытья посуды;
- Приготовления пищи;
- Стирки;
- Маникюрных манипуляций, которые повреждают кожные покровы.
Симптомы кандидозной паронихии проявляются не сразу.
- Появляется покраснение кожной складки, которая окружает ногти;
- Кожа вокруг ногтевой пластины отекает;
- Наблюдаются трещины и гнойники, которые легко лопаются от касания, вызывая боль;
- Меняются форма и структура ногтя.
В случае, если данные симптомы были проигнорированы, отсутствовало лечение, кандидозная паронихия переходит в хроническую стадию. Она характеризуется отхождением ногтевой пластины, наличием неровностей и изменением цвета ногтя.
При появлении первых признаков кандидозной паронихии нужно обратиться к дерматовенерологу.
Симптомы молочницы при ВИЧ
Кандидоз у ВИЧ положительных пациентов – распространенное заболевание.
Главную роль в распространении Кандиды играет сниженный иммунитет. Чаще всего наблюдается у людей с вирусом иммунодефицита молочница ротовой полости.
У пациентов со СПИДом, грибок распространяется и паразитирует намного быстрее. Поражаются внутренние органы и появляются проблемы с пищеварительным трактом из-за отечности слизистой.
Молочница у ВИЧ инфицированных людей может спровоцировать воспаление волосяных фолликулов, с последующим облысением.
Интересен факт! Даже при отрицательном анализе крови на Кандиды, ее присутствие в организме не исключено.
Когда и какие сдавать анализы при симптомах молочницы

Врач после сбора анамнеза, назначает пациенту сдать анализы:
- Мазок, посев из уретрального канала или влагалища;
- ПЦР-диагностику;
- Анализ крови на инфекции.
Важно! При диагностировании молочницы у человека, необходимо провериться его сексуальному партнеру.
Даже, если у него нет симптомов кандидоза.
Рекомендуется сдавать анализы на ИППП в целях профилактики и в период планирования беременности.
Как скоро уходит молочница после лечения
В среднем, после приема медикаментов, признаки молочницы проходят уже через 5-7 дней. Сроки и дозы приема препаратов устанавливает врач в индивидуальном порядке.
Молочница склонна к рецидивам, поэтому настоятельно рекомендуется совершать профилактические действия в течение месяца, даже если отсутствуют симптомы заболевания.
Хроническая стадия молочницы лечится дольше, так как воспалительный процесс распространился на внутренние органы. После пройденного курса лечения, необходимо сдать повторный анализ на Кандиды. Когда результат отрицательный – пациент здоров.
Если положительный – назначается новая схема лечения, после которой нужно будет сдать анализ в той же лаборатории.
- ВИЧ
- Гарднереллез
- Кондиломатоз
- Молочница
- Сифилис
- Трихомониаз
- Баланопостит
- Герпес
- Гонорея
- Микоплазмоз
- Уреаплазмоз
- Уретрит
- Хламидиоз
- ЗППП
Современные условия жизни способны вызвать серьезные изменения в организме человека, отчего его защитные силы приходят в упадок. Этот момент считается наиболее благоприятным для развития грибка. Рассмотрим причины возникновения и методы лечения этого недуга.
Что это за болезнь?
Молочницей называют одну из разновидностей грибкового заболевания, вызываемого грибками рода Candida .
Принято думать, что оно поражает лишь женщин, однако дети и представители мужского пола также страдают недугом. Он может протекать с ярко выраженными симптомами либо в скрытой форме.
Если больной не лечит молочницу, она приобретает хроническое течение, которое чревато появлением осложнений. Вот почему специалисты стремятся своевременно обнаружить кандидоз и назначить терапию.
Код по МКБ-10
В связи с тем, что недуг поражает многие органы и системы, молочница шифруется по Международной классификации болезней следующим образом:
- В37.0 – Кандидозный стоматит.
- В37.1 – Легочной кандидоз.
- В37.2 – Кандидоз кожи и ногтей.
- В37.3 – Кандидоз вульвы и влагалища.
- В37.4 – Кандидоз других урогенитальных локализаций.
- В37.5 – Кандидозный менингит.
- В37.6 – Кандидозный эндокардит.
- В37.7 – Кандидозный сепсис.
- В37.8 – Кандидоз иных локализаций.
- В37.9 – Кандидоз неуточненный.
Причины появления
Возбудителем инфекции считают нарушенную нормальную микрофлору кишечника и урогенитального тракта.
Развитие болезни начинается с того момента, как дрожжеподобный грибок начинает усиленно размножаться на поверхности слизистых оболочек. Это провоцирует выработку ответной реакции организма человека в виде воспаления.
От чего появляется молочница? На самом деле причин множество. Давайте рассмотрим их подробнее.
У женщин
Причины появления молочницы у женщин
Для представительниц слабого пола основным фактором развития кандидоза называют снижение местного естественного иммунитета. В свою очередь его нарушение связывают с такими причинами:
- Несоблюдение правил личной гигиены.
- Нерегулярная замена тампонов и прокладок.
- Применение оральных контрацептивов.
- Применение прокладок или туалетной бумаги с отдушками.
- Регулярное ношение синтетического нижнего белья.
- Чрезмерное проведение гигиенических процедур с антибактериальными средствами – мыло, вагинальный спрей, интимный гель.
При беременности

- Перестройка гормонального фона беременной: меняется кислотность влагалищных выделений.
- Повышенный стресс, действующий на физическое и психическое состояние женщины в интересном положении.
- Нарушение местного и общего иммунитета.
- Чрезмерное соблюдение интимной гигиены.
- Появление новых пищевых пристрастий у беременной: отмечается, что женщины, употребляющие маринованные, консервированные, копченые или острые продукты, а также сладости, страдают кандидозом в этот период гораздо чаще.
- Появление запоров в 3 триместре: чаще всего его сопровождают дисбактериоз, хронический или геморрой.
У мужчин
Хотя представители сильного пола менее подвержены кандидозу, инфицирование происходит при наличии таких факторов:
- Длительная стрессовая ситуация.
- Нарушение гормонального фона и развитие эндокринных заболеваний.
- Врожденный или приобретенный иммунодефицит.
- Пренебрежение правилами гигиены рта, органов половой системы и иных частей тела.
- Прием некоторых медикаментов: антибиотики, иммуносупрессоры.
- Резкая смена климатической и часовой зоны.
Эти факторы активизируют грибок, отчего появляются симптомы молочницы.
Однако заболевание у мужчин возникает после полового акта: грибок рода Candida переходит от партнерши и поражает половые органы человека.
У детей
Кандидоз во рту у ребенка (фото)
Самыми частыми причинами развития кандидоза у ребенка считают:
- Прохождение через родовые пути инфицированной матери в процессе родов.
- Сниженный иммунитет новорожденного по причине недоношенности, искусственного вскармливания или сопутствующих заболеваний женщины во время беременности.
- Пренебрежение правилами личной гигиены: грибок передается контактным путем посредством игрушек, предметов, которые малыш берет в рот.
- Наличие сопутствующей патологии у ребенка: дисбактериоз, рахит, вирусная инфекция, нарушение целостности слизистой оболочки рта.
- Проведение лечения некоторыми медикаментозными препаратами – антибиотиками, цитостатиками.
Молочница с точки зрения психосоматики
Несмотря на то что кандидоз – это гинекологическое заболевание, некоторые исследователи уверены, что причиной его возникновения может быть психосоматика.
Основные факторы развития молочницы, согласно этой теории:
- отрицание любого иного мнения какого-либо лица: человек пребывает в полной уверенности, что только его мнение правильное.
- наличие жесткого контроля собственной жизни, который возникает из-за собственной неуверенности и желания организма указать на скрытые проблемы.
- нехватка любви: это порождает развитие недуга на физическом уровне.
- постоянное вранье снижает иммунитет организма, и грибок начинает усиленно размножаться.
- непринятие своей персоны как женщину: она начинает на себя взваливать обязанности мужчины, но при этом обвиняет сильный пол в неспособности вести себя как мужчина.
- попытки подавить агрессию и гнев, неспособность проявить настоящие эмоции и чувства.
- молочница у младенца возникает вследствие душевного переживания: новорожденному не хватает материнской любви и внимания.
- развитие хронического течения заболевания объясняется тем, что женщина избегает мужского внимания. Даже когда она пребывает в браке, это ощущается ей насилием, а муж – олицетворением главной проблемы.
Симптомы
Первые признаки заболевания, по которым можно заподозрить кандидоз:
- Чувство жжения, зуд и болезненные ощущения во влагалище или наружных половых органах.
- Появление выделений творожистой консистенции, специфического запаха и в большом количестве.
- Боль при мочеиспускании и половом контакте.
- Покраснение малых половых губ, а в некоторых случаях – больших половых губ, ануса.
Чаще всего заболевание проходит без симптомов у мужчин.
Как выглядит заболевание: появление покраснения, зуда и жжения наружных половых органов, а также на возникновение белого налета на них.
Если развивается хроническая форма, появление обострений наблюдается не менее 4 раз за год. При таком течении симптомы появляются примерно за неделю до менструации.
Как кандидоз проявляется у младенцев?
Заболевание протекает в 2 формах: кандидоз ротовой полости и кандидозный конъюнктивит.
Наиболее часто встречается первая форма. Молочница у новорожденного во рту проявляется тем, что на деснах, слизистой щек, языке и мягком небе образуются пораженные области.
На слизистых этих органов возникают участки белого налета. Больной младенец может отказываться от груди или начинает плохо ее сосать, кричит и беспокоен.
Лечение
Принцип терапии – подавление роста грибка рода Candida и восстановление микрофлоры в организме человека. Не стоит ориентироваться на медикаменты с высокой стоимостью.
Существуют лекарства от молочницы для женщин, недорогие по ценовой категории, но не уступающие другим в эффективности.
Основные группы лекарственных средств, используемых в лечении кандидоза:
- Противогрибковые
Эффективное средство от молочницы для женщин – производные Флюконазола ( Дифлюкан , Флюкостат ). 
Также могут быть использованы лекарства на основе Клотримазола ( Канестен , Антифугол ) и Миконазола ( Гинезол ). Они разрешены при беременности, 3 триместр считается наиболее безопасным для их применения.
- Противомикробные – Гексикон ;
- Комбинированные – Тержинан , Макмирор – комплекс , нео-Пенотран .
Дешевые таблетки от молочницы для приема внутрь:
- Флюконазол – цена составляет около 100 рублей. Это противогрибковый препарат, снимающий зуд и раздражение в половых органах.
- Нистатин – является противомикробным препаратом, разрушающим клеточную стенку грибка и приводящий к его гибели.
Лучшие вагинальные таблетки от кандидоза:
Вагинальные свечи:
Также для местного лечения используются мази:
Лечение у мужчин

- Таблетки: Флюконазол (аналог Флюкостата), Пимафуцин , Кетоконазол );
- Мазь или крем: Экодакс , Пимафуцин , Клотримазол);
- Растворы для полоскания полости рта ( бура в глицерине , Кандид ).

Лечение кандидоза у детей
Для борьбы с недугом специалисты применяют местные и общие способы лечения. В первом случае происходит обработка пораженных очагов лекарственными средствами. Для этого применяется орошение ротовой полости Кандидом или раствором Йодолипта .
В случае кандидоза кожи назначаются противогрибковые мази – Миконазол , Клотримазол , Тербизил . При подростковом вагинальном кандидозе лучшее средство от заболевания – свечи Клотримазола или Миконазола .
Когда молочница имеет длительное течение и большую распространенность, доктора рекомендуют воспользоваться такими медикаментами:
- Таблетки Лаворина и Нистатина;
- Витамины группы В;
- Амфоцеритин;
- Иммуномодуляторы;
- Эубиотики.
Диета
Соблюдение правильного питания является немаловажным звеном в лечении молочницы.
Так, специалисты рекомендуют отказаться от следующих продуктов:
- фастфуд;
- полуфабрикаты;
- дрожжевая пища;
- любые сладости;
- некоторые фрукты: бананы, ананасы и натуральные соки;
- алкогольные напитки;
- блюда с острыми соусами или приправами;
- продукты, содержащие красители или консерванты;
- консервированные бульоны.
Такую пищу и напитки не желательно употреблять в течение 1 года, а сладости – даже во время ремиссии. В профилактических целях необходимо придерживаться диеты по 1 месяцу дважды в год. Однако не стоит впадать в крайность и питаться однообразной едой каждый день.
Желательно включить в рацион:
- свежие чеснок, зеленый и репчатый лук;
- натуральный йогурт и пробиотики. Их регулярный прием способен снизить вероятность возникновения молочницы;
- свежие ягоды, а также их напитки;
- несладкие фрукты и овощи (зеленые яблоки, сливы, свекла, тыква, брокколи, капуста, морковь);
- морепродукты;
- мясная и рыбная пища, приготовленная из нежирных сортов;
- крупы (гречневая, рисовая);
- хлеб, содержащий низкое количество рафинированных углеводов;
- любые орехи;
- чистая вода и травяные чаи.
Видео
https://youtube.com/watch?v=UJjHCHEey3E
В этой статье вы узнаете, что такое кандидоз кожи, какие бывают разновидности этого заболевания, какие он поражает органы. А также, какие симптомы указывают на наличие кандидоза, как это заболевание лечится, и какую оно таит в себе опасность.
Что такое кандидоз?
Кандидоз кожи – это поражение верхних покровов кожи, которые вызваны грибковой инфекцией Candida. Это заболевание проявляется в виде очагов поражения кожных покровов бледно-красного цвета с ярко выраженным отеком. Чаше всего процесс поражает такие участки кожи как: подмышечные и паховые области, межпальцевые промежутки и область под молочными железами у женщин. Точный диагноз может быть поставлен только в том случае, если берётся соскоб кожи, проводится лабораторное исследование, которое подтверждает наличие грибка Candida. Лечение осуществляется разными способами:
- местный;
- общий;
- применение противогрибковых препаратов.
Согласно данным всемирной организации здравоохранения, в последнее время отмечается рост заболеваемости грибковыми инфекциями, и кандидозом тоже. Этому недугу могут быть подвержены люди любого пола и возраста, независимо от места проживания и рабочих условий. Грибы Candida считаются условно патогенной флорой и присутствуют почти в каждом здоровом организме. Их переход в состояние, которое вызывает болезнь, может быть тревожным сигналом, говорящим о том, что с организмом не все в порядке.
Причины возникновения кандидоза
Кандидоз считают эндогенной инфекцией, которая развивается как на поверхности кожи, так и в слизистой оболочке. Самым благоприятным местом для развития считается влажная среда, в которой, при некоторых обстоятельствах начинают развиваться и делиться дрожжевые грибки Candida. В маленькой концентрации эти микроорганизмы присутствуют в теле почти каждого здорового человека и располагаются в носоглотке, в ЖКТ и во влагалище. Прогрессирование инфекции может быть спровоцировано следующими внутренними факторами:
- заболевания желудочно-кишечного тракта;
- сахарный диабет и другие патологии эндокринной области;
- проводимые операции и постоперационная терапия;
- нехватка витаминов;
- интоксикация, вызванная алкоголем, наркотиками или химиотерапией;
- продолжительный прием антибиотиков;
- имунно-подавляющая терапия, которая проводится после трансплантации органов для понижения вероятности их отторжения;
- венерические заболевания и СПИД;
- аутоиммунные процессы в организме, вызванные как болезнью, так и приёмами препаратов.
Как правило, именно внутренние факторы могут спровоцировать появление кандидоза. Но в редких случаях внешние воздействия также могут послужить толчком для развития этой болезни. К ним относятся.
- Ношение чрезвычайно теплой одежды. Это может вызвать повышенное потоотделение, что в свою очередь создаст идеальную среду для размножения и развития Кандиды.
- Воздействие на кожу вредных веществ, в частности кислоты и щелочи.
- Микротравмы.
- Плохая гигиена.
Классификация и симптомы
Классификация кандидоза определяют по локализации процесса. Каждой разновидности этой болезни свойственны свои, специфические симптомы. Общим симптомом, который присущ всем типам кандидоза кожи, считается образование пузырьков, папул, которые сливаются в единое пятно, как правило, бледно красного цвета. Поверхность пятна может иметь блестящий оттенок, быть гладкой и с повышенной влажностью, сопровождаться зудом и жжением.
Кандидоз ногтей
Или, как его называют по-научному – кандидозная онихия. Он возникает на поверхности ногтевой пластины. Пятна коричневого цвета, имеющие бурый оттенок появляются сперва у основания ногтя, а потом могут начать распределение по всей поверхности. Как следствие, ногтевая пластинка начинает шелушиться, истощаться или крошиться. Этой локализации кандидоза чаще всего подвержены женщины.
Кандидоз гладкой кожи
Это довольно редкая форма, при которой поражается кожа лица. На ней появляются пузырники, папулы, эрозии. Все это может сопровождаться сильным отеком. Такая локализация по большей части присуща детям, которые часто переносят инфекцию сами с одного пораженного участка на лицо.
Урогенитальный кандидоз у женщин
При острой форме происходит покраснение кожи гениталий, отеки и характерные высыпания. А при хронической форме наблюдаются менее выраженные, но более разнообразные симптомы, в числе которых такие: жгучая боль, зуд в области половых органов, характерные выделения и неприятный запах.
Кандидоз кожи у детей
У новорождённых может наблюдаться пеленочный кандидоз. Заражение может произойти через половые органы при рождении или в больнице. Кожа младенца более рыхлая и нежная, с меньшим количеством слоев. Благодаря этому грибки смогут легко проникнуть и распространится. Как правило, у младенцев в первую очередь поражаются такие участки кожи как внутренняя часть бедер, промежность и ягодицы.
Кандидоз крупных складок кожи
При этой разновидности кандидоза появляются красные пятна коричневатого оттенка в области нижней части молочных желез, в паховой и бедренной областях, а также в складке между ягодиц у людей с избыточным весом или у младенцев.
Кандидозу могут быть подвержены лежачие пациенты, которым в течение долгого времени накладывают повязки или находящиеся в гипсе. В этом случае возникает опрелость, которая является идеальным местом для развития грибка.
Лечение
Важно знать. Согласно статистическим данным, действительно эффективная противогрибковая терапия назначается только в 20-30% случая заболевания. Это объясняется тем, что многие люди поздно обращаются в больницу, не обращают внимания на симптомы или занимаются самолечением.
Верное лечение кандидоза может назначить только врач дерматолог, основываясь на данных клинических исследований и на анамнезе больного.
В процессе лечения кандидоза пациент должен придерживаться ряда принципов и соблюдать соответствующую диету.
- Ограничить себя в пище, в которой содержится большое количество углеводов. Так как углеводы – это питание для грибка.
- В процессе лечения желательно отказаться от курения и полностью исключить употребление спиртных напитков и наркотических средств.
- Ни в коем случае не заниматься самолечением.
- Тут же сообщать врачу в случае появления новых симптомов.
Противогрибковые препараты
На настоящий момент существуют несколько разновидностей противогрибковых препаратов, каждая из которых имеет как свои преимущества, так и недостатки. Это – Тиазолы, Полиены, Имидазолы и прочие в виде обычного йода и гризеофульвина. Классификация препаратов помогает правильно подобрать лечение. Если препарат из одной группы оказался неэффективным, его заменяют на другой, но уже из следующей группы.
Наряду с противогрибковыми препаратами могут назначаться и другие методы лечения. Зачастую врач при кандидозе любой локализации советует применять иммуномодуляторы .
Особенно эффективным является сочетание двух видов лечения – противогрибковой и лазерной терапии. При большой степени распространённости противогрибковую терапию комбинируют с местным лечением.
Дозу препаратов, а также длительность курса может назначить только врач.
Эффективный препарат от кандидоза
Среди обильного количества всевозможных препаратов, одним из самых эффективных и доступных на данный момент является Флуконазол, который относится к ряду Тиазолы.
Данный препарат может проникать почти во все участки тела, и потому его часто назначают как основное средство при любых локализациях кандидоза. Благодаря невысокой токсичности и отсутствия негативного действия на печень, это лекарство на первых порах лечения можно применять в ударных дозах. Кроме этого, флуконазол имеет тенденцию накапливаться в ороговевших клетках кожи, предупреждая тем самым рецидив болезни.
Этот препарат можно применять даже, не находясь под наблюдением врача, так как он практически не имеет побочных эффектов.
При неэффективности обычных средств используются более «мощные» противогрибковые препараты, которые способны уничтожить резистентные виды грибов. Они обладают не только высокой эффективностью, но также ярко выраженной степенью токсичности и массой противопоказаний. Применять эти средства, возможно только под наблюдением врача в стационарном режиме. Одним из таких лекарственных средств является Амфотерицин B, который широко используется в отечественной медицине в тяжелых случаях.
Важно знать. Даже если пациент начинает себя лучше чувствовать, и при этом исчезают все симптомы до окончания лечения, то это не говорит о том, что терапию можно завершить. Ведь при неоконченном лечении может возникнуть рецидив болезни, который, как правило, вылечить уже намного труднее.
Лечение в домашних условиях
Пациентов, с легкой формой кандидоза, как правило, не госпитализирует, а предлагают проводить лекарственную терапию дома. В этом случае больной должен точно выполнять все указания врача и принимать лекарства строго по схеме, расписанной доктором.
В случае преодоления заболевания, необходимо соблюдать и ряд профилактических мер, в числе которых содержание кожных покровов в чистоте, обработка проблемных участков специальными кремами и мазями и урезание из рациона углеводсодержащих продуктов.
Обратите внимание. Согласно теории, которую выдвинул итальянский профессор Симончини, грибок Candida, может вызвать онкологический процесс. Поэтому, подстраховки ради, при первых же симптомах, следует незамедлительно обращаться к врачу для своевременного лечения.
Лечение кандидоза народными средствами
Народная медицина также готова предложить пару эффективных методов лечения кандидоза.
- Берем 4 лимона, 50 грамм чеснока, пол литра кипяченой воды и 10-15 капель экстракта, полученного из зерен грейпфрута. Все это сбиваем с помощью миксера до образования массы, похожей на кашицу. В течение суток даем раствору настоятся, периодически его помешивая. После чего переливаем в стерилизованную банку и храним в холодильнике. Принимаем 2 раза в сутки по 50 грамм.
- Берем чайную ложку сухих листков шалфея, цветы календулы и ромашки, тысячелистник. Заливаем травяную смесь литром кипятка. И даем ей настоятся в течение 30 минут. Полученный отвар можно применять в качестве аппликаций, полосканий и прочих обработок пораженных участков.
Кандидоз кожи как болезнь, может поражать не только кожу, но и другие органы, и вызвать осложнения, в виде заболевая печени, почечной недостаточности и заболевания пищеварительного тракта.
Профилактика кожного кандидоза
В целях профилактики необходимо придерживаться здорового питания и стараться побольше употреблять в пищу обезжиренного йогурта, чеснока, меда, перца, ягод брусники и масла чайного дерева. Основным же направлением в профилактике кандидоза кожи считается создание таких условий, при которых грибки не смогут развиваться. В этом случае основными профилактическим методами являются такие как:
- ежедневное употребление кисломолочных продуктов, благодаря которым предупреждается дисбактериоз;
- ограничение сладкого;
- соблюдение всех необходимых мер личной гигиены;
- необходимость отказаться от использования мыла с антибактериальным эффектом, так как оно способно нарушить естественную микрофлору;
- отказ от приема антибиотиков или их применение только по назначению врача.
При ведении здорового образа жизни, при употреблении, в пищу только натуральных продуктов снимается не только риск развития кандидоза, но и многих других болезней. Помните об этом, и тогда походы по больницам будут в вашей жизни очень редким явлением.






Прием антибиотиков;
Отек;







