Описторхоз – это болезнь, вызванная попаданием в организм гельминта (печеночного трематода), который поражает печень, поджелудочную железу. Частота заражения на территории России и бывшего СССР – 2/3 от всего количества больных всего мира. Это связано с привычкой есть сырую либо плохо термически обработанную речную рыбу.
Чем опасен описторхоз
Причина заражения этим гельминтом – небольшой плоский червь (кошачья либо сибирская двуустка), который паразитирует в протоках (желчных и поджелудочной железы). Реже его можно встретить в тканях печени, желчного пузыря. Описторхоз опасен, ведь попадая во внутренние органы человека, в течение месяца достигает полового созревания и начинает размножение (откладывает яйца), вызывая при этом болезненное состояние. Гельминтов этого вида еще называют сосальщиками.
Патогенез болезни описторхоз:
- аллергическая реакция (отравление продуктами обмена веществ паразитов);
- механическое воздействие (повреждение тканей органов присосками и шипами, большое количество червей способно перекрыть протоки);
- нервно-рефлекторные проблемы (раздражение нервных окончаний на тканях, что приводит к патологическим импульсам органов);
- болезнь создает условия для возникновения и наложения инфекций.
Симптомы описторхоза
Симптомы описторхоза отличаются особенностями каждого индивидуума, временем и способом заражения. Инкубационный период болезни – до трех недель, правда проходить она может по-разному. На ранней стадии вероятно бессимптомное протекание болезни, симптомы проявляются при резком снижении иммунитета. Может появиться сильная аллергическая реакция. Средняя продолжительность жизни возбудителя (яйца описторхов) в организме – 20 лет.
Симптомы ранней стадии болезни:
- слабость в организме;
- общее недомогание;
- субфебрилитет;
- резкие непродолжительные скачки температуры организма;
- сильное потоотделение.
Симптомы хронического описторхоза
В течение четырех недель болезнь (легкая либо средняя степень тяжести) недуг переходит в латентное состояние и становится хронической. Симптомы хронического описторхоза схожи с проявлениями хронического холецистита, гастродуоденита, панкреатита, гепатита. Больной жалуется на приступы боли в правом подреберье, которые могут отдавать в спину или живот (схожи с желчными коликами). Поражения ЦНС выражаются соответствующими симптомами (бессонница, нервозность). Это способствует неправильной постановке диагноза.
Характер проявления хронической формы описторхоза:
- диспепсический синдром;
- болевые ощущения при пальпации (зона желчного пузыря);
- дискинезия желчного пузыря;
- аллергический синдром (поражение клеток эпителия, крапивница, зуд, отек Квинке);
- тремор конечностей, век.
Острый описторхоз
Период острого этапа заболевания – от нескольких дней до 3 месяцев, иногда дольше. Часто к симптомам присоединяются проявления легочных заболеваний, признаки астматического бронхита. Острый описторхоз у больных часто проявляется увеличением печени, гастроскопия может выявить эрозии и язвы слизистых оболочек и тканей желудка, двенадцатиперстной кишки. Симптомы при описторхозе часто путают с проявлениями других заболеваний, потому процесс постановки правильного диагноза затягивается. Важно вовремя начать лечение болезни.
Симптомы острого описторхоза у взрослого:
- повышение температуры тела;
- ощущение ломоты в суставах, мышцах;
- аллергические поражения кожи (высыпания);
- боли в правом подреберье;
- рвота, изжога, тошнота, метеоризм;
- нарушения стула (кал жидкий);
- снижение аппетита.
Симптомы описторхоза у женщин
Симптомы описторхоза у женщин имеют свои особенности. Это заболевание провоцирует увеличение болезненности месячных, изменения цикла менструаций. Особо опасно эта болезнь для беременных, поскольку будущую мамочку нещадно мучает токсикоз, что повышает риск прерывания и выкидыша. Возникает острая проблема с выработкой материнского молока, с грудным вскармливанием, нарушения со стороны иммунной системы, от чего страдает ребенок. Если у беременной обнаружили симптомы заражения гельминтами – необходима госпитализация и лечение болезни.
Симптомы описторхоза у мужчин
Чтобы узнать, как выявить описторхоз у мужчин, нужно изучить особенности симптоматики. Статистические данные говорят, что заражаются гельминтами чаще мужчины (возраст 15-55 лет). Скорее всего это связано с менее щепетильным подходом к готовке еды, в том числе рыбы. Правда, мужской организм борется с заболеванием активнее, и переносит болезнь, как стандартные проблемы с желудком, кишечником. Течение болезни чуть легче, чем у женщины. Симптомы описторхоза у мужчин особо не отличаются, острый этап проходит болезненно.
Признаки описторхоза
Больные приходят с жалобами на боли в сердце и перебои с пульсом, общее вялое состояние организма сопровождается тахикардией и общей слабостью. Кроме того, возникают симптомы поражения ЖКТ. Признаки описторхоза часто путают с проявлениями различных болезней. К примеру, хроническая фаза нередко выявляет симптомы панкреатита, гепатита (увеличение печени, желтуха), гастрита, дуоденита, цирроза печени, желчного перитонита. Кроме того, возникают симптомы поражения ЖКТ. На остром этапе болезни выделяют 4 варианта течения тяжелого острого описторхоза:
- тифоподобное течение (панкреатит, гепатит, желтуха, увеличенная печень), цирроз, гастрит; крови эозинофилы до 90%, СОЭ до 40 мм);
- гепатохолангитическое течение (ноющие боли, панкреатит, нарушение функций поджелудочной железы, поражение печени);
- гастроэнтероколическое течение (эрозивный гастрит, энтероколит, язвы, нарушение стула);
- течение с поражением дыхательных путей (болезни дыхательных путей, бронхит астматического типа, пневмония, плеврит).
Диагностика описторхоза
Для точной диагностики описторхоза и его лечения необходимо применить комплексный подход. Из основных вопросов, которые должен задать врач пациенту – место проживания (возможно, эндемический очаг), каким способом была приготовлена рыба, какие методы профилактики были применены. Необходимы результаты анализов крови, УЗИ внутренних органов и зондирование. Как определить описторхоз у человека? Примерно через месяц, когда в кале обнаруживаются яйца червей-описторхов, диагноз подтверждается.
Методы диагностики болезни описторхоз:
- анамнез (термическая обработка рыбы, количество);
- общая клиническая картина болезни;
- выявление в каловых массах яйца паразита;
- результаты УЗИ-диагностики пациента;
- проведение иммуноферментного анализа (анализ крови), ПЦР.
Что такое описторхоз
Описторхоз – это тяжело переносящееся паразитарное заболевание (группа гельминтозов), поражающее печень, поджелудочную железу. При осложненной форме страдают практически все важные органы организма. Трематоды (описторхи) – мелкие черви длинной до 2 см и шириной до 0,2 см, которые имеют на теле колючки и присоски, чем очень вредят внутренним органам. Описторхоз – симптомы у человека могут проявиться повторно, но тогда болезнь плохо поддается лечению, пациент восстанавливается намного дольше и тяжелее.
Путь заражения описторхозом
Зачастую заражаются люди, проживающие в определенном регионе, имеющие традиции, связанные с употреблением блюд из рыбы сырой, плохо прожаренной или просоленной. Путь заражения описторхозом – замкнутый круг, который состоит из 4 этапов. Из организма человека яйца описторхиса вместе с калом оказываются в воде, далее поедаются моллюсками, которыми питаются рыбы. Последний этап – приобретение нового хозяина (им может быть человек, пес, кот). По сути, гельминт выбирает моллюск и рыбу как средство передвижения.
Жизненный цикл кошачьей двуустки
Кошачья двуустка – это паразит, который встречается у кошек, но заразиться человеку от домашнего любимца нельзя, только от рыбы или раков. Жизненный цикл кошачьей двуустки начинается с выхода яйца из организма хозяина (с каловыми массами). Эти яйца заглатываются моллюсками, становятся личинками и в течении 2 месяцев превращаются в церкарий (активная личинка). Такая форма развития личинки помогает попасть в организм рыбы, где образует цисты в подкожном слое жира и мышцах.
В каких рыбах есть описторхоз
Еще до организма человека или другого млекопитающего черви меняют двух временных (промежуточных) хозяев – моллюска и рыбу (лещ, плотва, сазан). Особенности физиологического строения и процессов в организмах рыб семейства карповых позволяют закрепиться личинкам описторхиса, поэтому рыба из пресноводных рек Сибири и других регионов может быть источником заражения глистной инвазией (болезнью описторхоз). Бывает описторхоз в рыбе, проходящей пресноводные водоемы, останавливающейся там только на период нереста.
В какой рыбе не бывает описторхоз
По последним данным лабораторных проверок пресноводной рыбы, практически каждый ее вид является переносчиком гельминтов. Описторхоза не бывает в морской рыбе: слишком соленая среда не дает возможности личинкам сосальщика выжить. Бытует мнение, что в хищной рыбе описторхиса нет, но на практике яйца гельминта можно обнаружить в судаке, окуне и щуке. Чтобы обезопасить себя от заражения таким паразитом, необходимо следить за качественной термической обработкой и вовремя делать профилактику болезни.
Лечение описторхоза
Даже при слабо выраженных симптомах лечение описторхоза необходимо начинать как можно раньше:
- Подготовительное медикаментозное лечение начинается со снятия воспалительных процессов, аллергических реакций, интоксикации и очистки кишечника.
- Параллельно выписываются желчегонные препараты, ведь от хорошего оттока желчи зависит скорость восстановления.
- Далее назначаются антибиотики и антигистаминные средства, во время лечения пациенту нужно соблюдать строгую диету.
- Курс терапии занимает около 2 недель, заниматься самолечением запрещено.
Последствия болезни описторхоз (при запоздалом лечении):
- вызывает перитонит;
- печеночная недостаточность;
- желтуха, гепатит;
- цирроз печени;
- острый панкреатит;
- нарушения функционирования печени и/или поджелудочной железы, рак.
Профилактика описторхоза
Профилактика описторхоза должна проводиться комплексно. Кушать можно только качественно проваренную, прожаренную и соленую рыбу. Необходимо помнить о чистоте разделочных приборов, ножей и досок, нарезать рыбу кусками толщиной не более 5 см для качественной термообработки. Запрещено пробовать сырую рыбу или фарш, кормить ею домашних животных. Ветеринары рекомендуют регулярно (раз в полгода) проводить курс дегельминтизации домашних любимцев. Важно следовать технологии приготовления блюд из рыбы.
Методы уничтожения паразитов в рыбе:
- заморозка на 7-8 часов (при -40 градусах);
- засолка в растворе соли до 40 дней (зависит от веса);
- варить рыбу (минимум 20 минут после закипания);
- жарить рыбу (минимум 20 минут под крышкой).
Видео: симптомы кошачьей двуустки
Отзывы
Анна. 45 лет Никогда не думала об опасности заражения от речной рыбы. Когда муж принес улов, мы решили засолить его. Видимо, неправильно приготовили. Буквально через пару дней муж стал пациентом инфекционной больницы с букетом симптомов острого описторхоза. Сейчас уже ходит просто отмечаться, но лечение болезни было очень тяжелым.
Вероника, 32 года Откуда я подцепила описторхоз, даже не догадываюсь, видимо дело случая. Рыбу не люблю, сырую тем более не ем. С моим организмом начали происходить неприятные вещи, подниматься температура. Пришлось наблюдаться у врача, но легче не становилось. Появилась аллергическая сыпь, сдала анализы и наконец-то выяснили диагноз. Тогда пошла на поправку.
Иван, 65 лет Я заядлый рыбак и любитель рыбных блюд в разных видах. Живу возле Волги и практически весь улов оттуда. Рыбаки-соседи рассказали о болезни от заражения гельминтами. Посмотрел фото описторхиса, начитался о симптомах, профилактике. Впредь ловлю рыбу просто для удовольствия, потом выпускаю ее в реку. Очень не хочется из-за хобби стать пациентом больницы.
Юлия, 28 лет Заболел мой любимый кот. Сначала мы и не поняли, в чем проблема, думали пищеварение шалит. Оказалось, симптомы заражения описторхисами. После сдачи анализов описторхоз подтвердился. Ветеринар обрадовал – для людей кот как переносчик паразита не опасен, пролечили и полностью поменяли рацион. Больной кот здоров, мы предупреждены о болезни.
Описторхоз – это опасное и очень неприятное заболевание, вызываемое плоскими червями описторхисами, принадлежащими роду дигенетических сосальщиков. Их жизненный цикл протекает в нескольких хозяевах, конечными из которых являются животные либо человек, употребляющие в пищу рыбу. Данных паразитов также называют сибирской или кошачьей двуусткой. Размеры паразита колеблются в длину от 4 до 15 мм, в ширину – от 1 до 3 мм, а толщина их составляет 1 мм.
Описторхоз долго и тяжело переносится и лечится, трудно диагностируется, имеет много неспецифичных симптомов. Он опасен тяжёлыми осложнениями. Чем дольше находятся черви описторхиса в организме, тем сильнее их повреждающее воздействие на внутренние органы и системы.
Механизм глистной инвазии
Заражение происходит путем употребления в пищу рыбы, пораженной личинками паразитов, и не прошедшей должную термическую обработку. Первый этап развития паразитов начинается внутри тела моллюсков, обитающих в пресноводных водоемах. Улитки поглощают яйца, попавшие в воду с фекалиями заражённых животных и нечистотами. На протяжении двух месяцев внутри них происходит формирование церкарий – свободноплавающих личинок.
После созревания и выхода из тела улиток в воду церкарии внедряются сквозь кожные покровы или боковую линию тела рыб, где на протяжении 1,5 месяцев происходит их преобразование в метацеркариев. Рыбы – второй промежуточный хозяин паразитов.
Заражение животных, человека, съевших инвазированную рыбу, происходит благодаря попаданию метацеркариев в его пищеварительную систему.
Распространение описторхоза, вызванного паразитами Opisthorchis felineus (Описторхис фелинеус) отмечается на территориях России, Украины, Казахстана и некоторых стран Европы. Неблагоприятная ситуация связана с особенностями образа жизни, традициями и пищевыми привычками населения, наличием определённых условий окружающей среды, благоприятных для распространения данного вида трематод, и соответствующей экологической обстановки в этих регионах. Носителями личинок описторхиса являются карась, карп, плотва, красноперка и другие виды карповых рыб.
Наибольшая заболеваемость отмечается в возрастной группе пациентов от 15 до 50 лет. У мужчин описторхоз встречается чаще, что связано с особенностями их образа жизни (профессии и хобби по вылову рыбы, пищевые привычки и пристрастия).
Как и почему возникает заболевание
Источники заражения – больные дикие и домашние животные, люди, кал которых, попадая в реки, вносит в них яйца гельминтов.
Причины описторхоза – пренебрежение правилами относительно обработки речной рыбы и употребление полусырых рыбных продуктов. Возбудитель вызывает заболевание, находясь в стадии метацеркария, достигшего созревания в теле рыб. Незрелые яйца паразитов и церкарии не представляют опасности для человека. Рискам заболевания подвержены рыбаки и их семьи.
Как воздействуют паразиты на организм
Освободившись при действии сока в желудке от оболочек, метацеркарии входят в печень, полость желчного пузыря, поджелудочную железу. Там личинки взрослеют, а затем принимаются откладывать яйца. Патологическое воздействие червей описторхиса на организм человека является как механическим, так и токсическим.
Воздействие механического типа
В течение жизни гельминты оказывают повреждающее воздействие на стенки жёлчного пузыря, панкреатические и жёлчные протоки, вызывая:
- нарушение кровообращения и целостности слизистых оболочек паразитами в процессе их передвижения;
- воспалительные процессы;
- препятствие оттоку желчи и панкреатического сока, из-за закупорки протоков скоплениями гельминтов;
- кистозное расширение жёлчных ходов вследствие закупорки их паразитами.
Токсическое воздействие
Паразитарный процесс вызывает общее отравление всего организма хозяина (заражённого человека или животного) и негативно отражается на работе всех его систем: сердечно-сосудистой, центральной нервной, пищеварительной и гепатобилиарной.
В процессе жизнедеятельности червей описторхиса происходит:
- интоксикация организма;
- развитие инфекций в результате застоя желчи;
- заселение патогенными микроорганизмами верхних отделов ЖКТ из-за отсутствия соляной кислоты вследствие деятельности паразитических червей.
При отсутствии лечения гельминты могут паразитировать в теле конечного хозяина в течение 20-25 лет и приводить к развитию онкологических заболеваний, цирроза печени и других смертельных недугов.
Симптомы описторхоза
Первые признаки заболевания появляются через 2-4 недели после попадания метацеркариев в организм человека. Количество дней в их инкубационном периоде зависит от концентрации личинок, попавших в желудочно-кишечный тракт, их активности, а также от состояния иммунной системы человека.
Обычно болезнь в своем развитии проходит две стадии: острую и хроническую. Но в регионах с неблагоприятной обстановкой относительно заболеваемости описторхозом, у взрослых и у детей болезнь часто сразу приобретает хроническую форму, минуя острую стадию. Это связано с наличием у жителей данных регионов врождённого частичного иммунитета из-за постоянных заражений.
Острая фаза заболевания
Симптомы описторхоза в острой фазе являются неспецифическими и характерны для многих других заболеваний. Проявление острой фазы в зависимости от тяжести симптомов бывает лёгким, среднетяжёлым и тяжёлым.
Лёгкое течение
Болезнь проявляется следующими признаками:
- лихорадка, температура выше 39 градусов;
- головные боли;
- общее недомогание, слабость.
Такое состояние длится в течение одной-двух недель.
Среднетяжёлое течение
При таком состоянии к выше перечисленным симптомам присоединяются:
- высыпания на коже аллергического характера по типу крапивницы;
- мышечные и суставные боли, иногда мышцы напряжены до судорог;
- диспепсические явления – тошнота, рвота, диарея.
Длительность течения составляет 15-20 дней.
Симптомы тяжёлого протекания острой фазы
В данном состоянии помимо лихорадки, высокой температуры и аллергических реакций появляются признаки поражения внутренних органов и нервной системы:
- повышенная возбужденность или заторможенность, бессонница;
- боли в правом подреберье;
- увеличение печени, желтушность склер и кожных покровов;
- кашель, одышка, затрудненное дыхание, увеличение лимфатических узлов;
- отёк Квинке;
- сбои в работе желудочно-кишечного тракта
Постепенно симптомы острого проявления утихают, и заболевание становится хроническим.
Симптомы хронического описторхоза
При описторхозе, перешедшем в хроническую форму, клиническая картина бывает разной. В эндемических районах, где у жителей выработан частичный иммунитет, заболевание протекает долго и бессимптомно. Чем дольше длится заболевание, тем негативнее влияние, направленное на весь организм. Проявлениями хронического описторхоза являются:
- нарушения в работе нервной системы – депрессия, бессонница, головные боли и головокружение, эмоциональная нестабильность, тремор конечностей;
- сбои в работе сердечно-сосудистой системы – боли в области сердца, аритмия;
- локализация паразитов в панкреатических протоках приводит к панкреатиту, недостаточной выработке необходимых ферментов и гормонов;
- нарушения в работе органов желудочно-кишечного тракта – изжога, отрыжка, боли в животе, тошнота и расстройство стула. В результате поражения паразитами возникают язвенная болезнь желудка и двенадцатиперстной кишки, хронический гастрит, дуоденит;
- нарушения работы гепатобилиарной системы – диспепсические явления, боли в правом подреберье, желтуха свидетельствуют о развитии холецистита, холангита и других хронических заболеваний.
Аллергия часто сопровождает глистные инвазии. У человека, больного описторхозом, ярко выражены кожные высыпания. Часто показывается крапивница, отёк Квинке и другие симптомы, свойственные аллергическим заболеваниям.
У женщин выражены расстройства в работе репродуктивной системы, нарушается менструальный цикл, а месячные сопровождаются сильными болями.
Диагностика и лечение
Чем раньше удаётся выявить истинную причину плохого самочувствия пациента и поставить правильный диагноз, тем легче избавить его от паразитов.
Что включает в себя диагностика
Постановка диагноза начинается со сбора анамнеза. Эпидемиологический анамнез указывает на вероятность наличия у пациента описторхоза.
При подозрении на описторхоз проводятся лабораторные и инструментальные исследования с целью подтверждения диагноза.
Какие исследования необходимы:
- Анализ кала и забор дуоденального содержимого на наличие яиц описторхиса – делается трижды с перерывом в пару дней.
- ПЦР исследования на наличие в кале ДНК паразитов.
- Анализ крови – общий, иммунологический и биохимический. Кровь также исследуется на наличие и количество антител, вырабатываемых организмом в ответ на появление паразитов.
- При необходимости проводится инструментальное обследование пациента.
- УЗИ – определение степени повреждений в органах.
- Ретроградная панкреатохолангиография, чрескожная холангиография – обнаружение паразитов.
Своевременная диагностика помогает вовремя начать лечение описторхоза и предотвратить опасные осложнения.
Как правильно лечить описторхоз
Лечение описторхоза является комплексным и поэтапным. Процесс избавления пациента от паразитов и результаты зависят от продолжительности болезни, интенсивности инфицирования, степени поражения внутренних органов гельминтами, наличия повторного заражения.
Прежде, чем начать лечить пациента токсичными противопаразитарными препаратами, необходимо подготовить его организм к такому воздействию.
Схема лечения состоит из нескольких этапов.
Подготовительный этап
На данном этапе происходит подготовка к дегельминтизации. Сразу устраняются симптомы, которыми характеризуется острый период заболевания. Проводится медикаментозное лечение с целью:
- детоксикации организма – сорбенты, гепатопротекторы;
- устранения болевого синдрома – спазмолитики;
- снятия аллергических явлений – антигистаминные препараты, кортикостероиды;
- восстановления пищеварительных процессов – ферменты, прокинетики;
- обеспечения оттока желчи – желчегонные препараты, холеспазмолитики;
- устранения воспалительных процессов – антибиотики.
Длительность данного этапа составляет две-три недели. Острый тяжёлый описторхоз лечат в условиях стационара.
Специфическая терапия
На данном этапе удаляются гельминты из организма. По назначению врача применяются специальные противопаразитарные лекарственные препараты. Лечение пациента происходит в условиях стационара под наблюдением врача, так как большинство препаратов являются очень токсичными. Только специалист назначит правильную дозировку, частоту и длительность приема препарата, а также схему лечения.
Сейчас разработаны различные методики лечения паразитарных заболеваний. Гепатолог-инфекционист врач высшей категории Удилов В.С. внёс огромный вклад в развитие современной медицины и представил 17 медицинских научных работ, посвященных разработке новых методов лечения и реабилитации пациентов, страдающих заболеваниями гепатобилиарной системы, в том числе и от паразитарных её поражений.
Врач назначает таблетки от описторхоза, популярными из которых являются: Празиквантел, Хлоксил, Альбендазол, Гелмодол. Иногда при смешанных инвазиях применяют Вермокс или Немозол, оба эти препарата являются токсичными, имеют многочисленные побочные эффекты и недостаточно действенны против описторхоза. Немозол чаще применяется для лечения лямблиоза при сочетании в организме лямблии с другими паразитами. Декарис не назначается для лечения заболеваний, вызванных описторхисами.
Отзывы об антигельминтных препаратах неоднозначны. Одни пациенты отмечают, что лекарство эффективно и быстро убивает паразитов, другие заявляют о множественных побочных проявлениях.
Применение любого из антигельминтных препаратов помогает уничтожить паразитов, вызывая паралич их мышц, подавляя их способность усваивать глюкозу, блокируя синтез АТФ в их тканях. Стоит помнить, что такое лекарство оказывает мощное химическое воздействие не только на гельминтов, а также негативно влияет на внутренние органы их хозяина. Поэтому самолечение антипаразитными препаратами – далеко не лучшее решение, так как опасно необратимыми последствиями. Даже однократное бесконтрольное применение какого-либо препарата часто вредит организму.
Инструкция по применению любого из химических препаратов содержит перечень противопоказаний, а также указывает на возможные побочные эффекты в процессе их применения. Специалисты отмечают, что после лечения такими специфическими лекарствами часто появляется кожная сыпь. Иногда начинается тошнота, боли в животе, слабость и головокружение. Во время специфического лечения нельзя принимать никакие препараты без назначения врача, пользоваться народными средствами и употреблять алкоголь. Всё это сильно увеличивает нагрузку на печень и почки, и значительно усложняет последствия болезни.
Спустя двое суток после дегельминтизации проводится слепое дуоденальное зондирование, что позволяет вывести продукты распада гельминтов из организма и эффективно восстановить отток желчи.
https://youtube.com/watch?v=b4ukPOnH-Yw
Восстановительный этап
Целью медикаментозного лечения на данном этапе является восстановление нормальной работы внутренних органов после изгнания паразитов и дезинтоксикация организма. Терапия осуществляется в домашних условиях, но обязательно под наблюдением врача. Пациенту рекомендовано принимать желчегонные препараты, сорбенты спазмолитики, ферменты и гепатопротекторы. На данном этапе также можно эффективно использовать средства народной медицины.
Срок реабилитации зависит от длительности болезни, глубины поражения органов ЖКТ и интенсивности терапии. При лечении рекомендовано соблюдение диеты.
Профилактические мероприятия
Паразитарные инвазии оказывают очень неблагоприятное воздействие на состояние всего организма человека. Обычно после избавления от гельминтов полностью восстановить повреждённые ими внутренние органы уже не удаётся, а повторное заражение усугубляет негативные последствия. Поэтому профилактика – лучшее средство от опасных последствий и тяжёлых осложнений.
Важно всегда помнить, от чего и как происходит заражение описторхозом, и соблюдать несложные профилактические правила:
- Всегда подвергать рыбу тщательной термической и кулинарной обработке;
- Тщательно обрабатывать кухонный инвентарь после соприкосновения с сырой рыбой;
Так как домашние животные тоже подвержены риску заражения описторхозом, нельзя кормить их сырой рыбой и позволять детям тесно контактировать с ними.
Описторхоз – гельминтозное заболевание группы трематодозов, поражающее гепатобилиарную систему и поджелудочную железу человека.
| МКБ-10 | B66.0 |
|---|---|
| МКБ-9 | 121.0 |
| DiseasesDB | 29303 |
Содержание
Главной причиной заражения является использование в пищу рыбы и рыбных продуктов, инвазированных кошачьей или сибирской двуусткой. Гельминты паразитируют в печени, желчевыводящих протоках и поджелудочной железе человека. При отсутствии надлежащего лечения не исключается развитие онкологических заболеваний и иных осложнений.
Общие сведения
Возбудитель описторхоза – сибирская или кошачья двуустка (описторхозис фелинеус), являющаяся печеночной трематодой. Гельминт представляет собой ланцетовидного червя размером от 9×1,1 мм до 19×2 мм. В фазах развития гельминтов участвуют 2 промежуточных хозяина – брюхоногие моллюски и рыбы (преимущественно виды карповых). Роль конечных хозяев играют животные и человек.
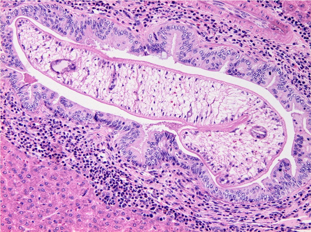
Инвазия моллюсков-битиниид (первых промежуточных хозяев) осуществляется в мелких либо пересыхающих пресноводных водоемах, расположенных в поймах рек. Заражение брюхоногих осуществляется путём проглатывания яиц червей, попадающих в водоем с экскрементами животных либо человека. В организме моллюска глист развивается на протяжении 7 – 8 недель до стадии личинки (церкарии), после чего покидает его и проникает в организм рыбы – второго промежуточного хозяина.
В теле рыбы возбудитель описторхоза паразитирует в тканях подкожной клетчатки и мышцах, где он переходит в очередную фазу цикла – метацеркарий, располагающийся в небольшой цисте. На данной стадии личинка сохраняет высокую двигательную активность. Спустя 1,5 месяца после заражения второго промежуточного хозяина двуустка становится инвазионной (способной к заражению животных и человека).
В какой рыбе может встречаться возбудитель описторхоза? Потенциально опасными видами рыб по вероятности заражения человека заболеванием являются плотва, линь, уклея, пескарь, язь, краснопёрка, чехонь, гольян, шиповка, голавль, лещ, елец, синец, жерех, верховка, белоглазка. Многих людей интересует, есть ли в щуке описторхоз? Последние исследования свидетельствуют о том, что в щуке описторхоз также периодически встречается, однако значительно реже, чем в карповых видах.
Инвазия человека и плотоядных животных осуществляется вследствие употребления больной рыбы, не подверженной соответствующей термической обработке. Кроме того, описторхоз передается от человека к человеку. В верхних отделах пищеварительного тракта метацеркарии высвобождаются из коконов и через желчные протоки беспрепятственно проникают в желчный пузырь и печень. Нередко гельминты локализуются в поджелудочной железе.
Спустя 10 – 13 суток паразиты переходят в половозрелую стадию и начинают активно откладывать яйца, которые при попадании в подходящие для дальнейшего развития условия жизнеспособны в течение года. При нахождении яиц в почве гибель наступает спустя 10 суток.
В теле конечного хозяина паразит может обитать до 20 лет. Двуустки оказывают токсический эффект, а также механическое воздействие на человеческий организм. Массовое скопление глистов может послужить причиной закупорки желчных протоков и, впоследствии, их кистозного расширения. Образующийся застой желчи зачастую создает благоприятные условия для развития воспалительных заболеваний (ахилии, гнойного холангита).
Продукты метаболизма гельминтов могут стать причиной возникновения в организме зараженного человека сенсибилизационных и аллергических процессов. При отсутствии адекватного лечения описторхоза не исключено развитие холангиокарциномы. У людей, имеющих I группу крови, возможно возникновение эрозионно-язвенного гастродуоденита, а у людей с III группой – диффузного поражения печени.
Симптомы описторхоза
Возникновение и дальнейшее развитие симптомов описторхоза у взрослых и детей напрямую зависит от временного интервала, прошедшего с момента заражения, уровня инвазивной интенсивности, а также от индивидуальных особенностей человека. Существует 2 вида недуга – острый и хронический описторхоз. Острая фаза, как правило, длится не более 2 месяцев. Длительность хронической формы может составлять несколько десятилетий, при этом болезнь зачастую протекает бессимптомно.
Признаки описторхоза острой стадии:
- ощущение боли в правом подреберье;
- гипертермия;
- ломота в суставах и мышцах;
- увеличение размера печени либо желчного пузыря;
- тошнота, сопровождаемая рвотой;
- регулярно проявляющаяся изжога;
- боль в эпигастральной зоне;
- метеоризм;
- снижение или полная потеря аппетита;
- диарея.
Симптомы описторхоза проявляются также на коже в форме кожных высыпаний, внешне напоминающих крапивницу.
В момент проведения фиброгастроскопического обследования выявляется эрозивный гастродуоденит. Нередко диагностируется изъязвление слизистых верхних отделов ЖКТ (желудок, двенадцатиперстная кишка). Иногда симптомы описторхоза имеют схожесть с признаками приобретенной патологии легких аллергической этиологии (например, астматического бронхита).
Хронический описторхоз симптоматически напоминает гепатит, хроническую форму холецистита, гастродуоденит либо панкреатит. В такой ситуации возникают следующие признаки описторхоза:
- интенсивные приступообразные боли, возникающие в правом подреберье;
- перенос болевых ощущений в область грудной клетки;
- дискинезия желчного пузыря;
- боль в зоне желчного пузыря в момент проведения пальпации;
- диспепсия;
- непереносимость продуктов питания с высоким содержанием жира.
С течением времени описторхоз затрагивает кишечник, что нарушает его правильное функционирование.
Описторхоз проявляется и нарушениями ЦНС:
- регулярные головокружения;
- низкий уровень работоспособности;
- раздражительность;
- головная боль;
- бессонница;
- депрессия;
- тремор век, пальцев, языка;
- быстрая утомляемость (физическая, умственная).
Нередко расстройства нервной системы являются основными признаками описторхоза. В таком случае могут быть диагностированы вегетативный невроз либо нейроциркуляторная дистония.
Хронический описторхоз, протекающий на фоне аллергизации организма, зачастую сопровождается следующими признаками:
- крапивница, сопровождаемая кожным зудом;
- отек Квинке;
- артралгия;
- пищевая аллергия.
Специфическая особенность заболевания – развитие необратимых патологий во внутренних органах. Описторхоз зачастую сопровождается хроническими формами гепатитов и гастритов, холангитом либо холециститом. Практически всегда наблюдается нарушение функций иммунной системы. Хронический описторхоз иногда сопровождается циррозом печени либо гепатоцеллюлярной карциномой.
Симптомы описторхоза и его лечение у таких больных предусматривает проведение в восстановительный период процедур, способствующих налаживанию функций ЖКТ, печени, желчного пузыря.
В случае локализации паразитов в пределах поджелудочной железы, регистрируются опоясывающие боли, отдающие в левое плечо, а также левую часть спины и грудной клетки.
Осложнения
При длительном проявлении симптомов описторхоза и отсутствии лечения у взрослых и детей происходит серьезная интоксикация организма, вызванная продуктами жизнедеятельности двуусток и тканевым некрозом самого человека.
Описторхоз может стать причиной осложнений:
- острый деструктивный панкреатит;
- прекращение оттока панкреатического сока, желчи;
- рак поджелудочной железы;
- абсцесс;
- желчный перитонит;
- холангит;
- холецистит;
- цирроз печени;
- формирование в желчном пузыре песка и камней;
Известны случаи появления у больных описторхозом сахарного диабета.
Диагностика
Диагностика описторхоза производится на основе изучения симптоматики и эпидемиологических данных региона. Выделяют факторы риска, повышающие вероятность развития заболевания:
- употребление потенциально зараженной рыбы (без предварительного проведения термической кулинарной обработки);
- проживание (временное либо постоянное) в эндемичном регионе;
- принадлежность к некоторым этническим народностям (народы Севера).
Для установления диагноза необходимо проведение исследований каловых масс либо дуоденального сока на предмет наличия в них яиц гельминта. Анализ на описторхоз собирается не ранее, чем через месяц после возможной инвазии. Пробы сдаются многократно для подтверждения достоверности полученных данных. Обнаружение в 1 г каловых масс менее 100 яиц свидетельствует о наличии легкой формы недуга, более 30 000 яиц – о крайне тяжелой.
Взрослых особей можно выявить при проведении эндоскопии либо посредством эндоскопической ретроградной панкреатохолангиографии. Возможно обследование печени, а также желчных протоков посредством УЗИ, КТ, МРТ и радиографии, что дает возможность установить косвенные симптомы заболевания (структурные изменения печени, желчного пузыря, а также увеличение их размеров, воспалительные процессы и фиброз желчных протоков).
Обнаружение эозинофилии в анализе крови на описторхоз также указывает на возможную глистную инвазию. Описторхоз нередко сопровождают высокие показатели билирубина, сывороточной трансаминазы и щелочной фосфатазы при одновременно малом уровне сывороточного альбумина.
В течение последних лет начали использовать новые виды диагностики – молекулярную и иммунологическую. Иммунологический способ основан на обнаружении специфических антител, вырабатываемых человеческим организмом при наличии антигенных детерминант глиста. Самый эффективный способ – забор иммуноферментного анализа, позволяющего определить стадию развития болезни.
Молекулярная диагностика позволяет установить в анализах фекалий наличие фрагментов ДНК гельминта посредством полимеразной цепной реакции. Данный способ эффективен в случае массовой глистной инвазии.
Лечение описторхоза
Большинство людей не знает, как лечить описторхоз правильно. Лечение всех форм заболевания предусматривает комплексный подход, включающий проведение 3 последовательных этапов:
- подготовительная стадия;
- специфическая антигельминтная химиотерапия;
- реабилитация.
Подготовительный этап необходим для избавления пациента от аллергизации организма и снятия воспалительных процессов в пищеварительной и гепатобилиарной системах. На этой стадии проводится налаживание нормального движения секреции, осуществляется симптоматическая, а также дезинтоксикационная терапия. Правильность проведения данного этапа существенно влияет на эффективность лечения описторхоза.
Помимо соблюдения диеты при описторхозе пациентам назначают медикаментозную терапию:
- дезинтоксикационная – предусматривает использование 5%-го раствора глюкозы, солевых растворов либо гемодеза для внутривенного введения;
- десенсибилизирующая – использование противоаллергических медикаментов;
- дренаж билиарной системы – применяются желчегонные синтетические препараты (холеретики либо холекинетики);
- антибиотики широкого диапазона действия – назначаются при обнаружении признаков вторичной инфекции (минимальный срок приема – 5 дней).
При возникновении холестаза рекомендуется использование лекарств с урсодезоксихолевой кислотой. Чаще всего назначаются гептрал, урсофальк либо урсосан.
Лечение описторхоза у взрослых и детей предусматривает прием про- и пребиотиков, спазмолитических препаратов (дротаверин, но-шпа, баралгин, бускопан, дюспаталин, метеоспазмил). Также применяются прокинетики (мотилиум, мотилак) и препараты на основе пищеварительных ферментов (мезим форте, креон, пензитал).
Дозировка препаратов при лечении описторхоза, а также время прохождения подготовительной стадии зависят от таких факторов, как интенсивность инвазии и ее фаза, общая клиническая картина, наличие осложнений и иных.
При хроническом бессимптомном описторхозе, протекающем на фоне ремиссионной формы холангита либо холецистита, срок подготовки пациента длится не более 2 недель. При наличии гепатитов либо панкреатита его продолжительность составляет 3 недели.
Специфическая антигельминтная химиотерапия. На данном этапе устраняются приобретенная аллергизация организма и сформированные органные патологии. Для этих целей используются антигистамины (супрастин, димедрол), хлорид кальция, а также седативные лекарства (бром, валериана).
Обычно для предупреждения возможных васкулитов назначаются различные противовоспалительные средства – бутадион, аскорутин, а также салицилаты.
Чтобы вылечить описторхоз современная фармацевтика предлагает следующие лекарственные препараты:
- альбендазол;
- празиквантел (бильтрицид);
- хлоксил.
Альбендазол – вызывает нарушения функций пищеварительной системы возбудителей описторхоза на клеточном уровне, что в корне меняет ход биохимических реакций в их организме. В результате такого воздействия гельминт погибает.
Описторхоз у детей (2 лет и старше) и взрослых с помощью альбендазола лечится следующим образом: препарат принимают дважды в сутки. Разовая доза составляет 400 мг. Длительность терапии – 3 дня. В случае возникновения лейкопении лечение лекарством прекращается. Для достижения максимального эффекта прием средства необходимо проводить всей семье для предотвращения повторного заражения.
Альбендазол имеет ряд противопоказаний:
- индивидуальная непереносимость препарата;
- поражения глазной сетчатки;
- сниженная производительная способность системы кроветворения;
- заболевания печени;
- беременность;
- лактационный период;
- детский возраст (до 2 лет).
Возможен прием структурных аналогов альбендазола – мебендазола, вормина, медамина и вермокса.
Празиквантел (бильтрицид). Вызывает паралич мышечной ткани возбудителей описторхоза и их гибель впоследствии.
Бильтрицид принимают дважды либо трижды в день, учитывая максимально возможную суточную дозировку, равную 40 мг/кг. В тяжелых случаях доза может быть увеличена до 75 мг/кг. Интервал между приемами должен быть в пределах 4 – 6 часов. Срок терапии – 1 день. В отдельных случаях схема лечения может быть скорректирована.
Лечение препаратом, как правило, производится в условиях стационара, что связано с частым проявлением побочных эффектов:
- диарея;
- боли в животе;
- тошнота, часто рвота;
- следы крови в фекалиях;
- аллергизация организма;
- головная боль;
- вялость;
- дезориентация во времени и пространстве;
- гипертермия;
- заторможенность реакций;
- повышенная потливость;
- головокружение.
Побочные действия наиболее ярко выражены в случаях массовой глистной инвазии. У пациентов часто фиксируется повышенное содержание ферментов печени.
Лекарство запрещено к применению больным, страдающим патологиями печени, а также беременным и кормящим женщинам. Описторхоз у детей младше 4 лет лечить бальтрицидом запрещено.
При отсутствии бильтрицида допускается применение его структурных аналогов: тартрата антимонил-натрия, цистрицида, цитрата дитразина, дронцита, пиквитона, цезола, цестокса, азинокса, билтрида.
Хлоксил. Существует 3 схемы приема лекарства: двух-, трех- и пятидневная. Индивидуальная дозировка составляет 0,3 г/кг. Общее количество принятого за весь курс препарата должно быть в пределах 15 – 24 г. Для расчета суточной дозы это количество делят на число дней выбранной схемы лечения.
Хлоксил пьют 3 либо 4 раза в день, запивая молоком. Его прием обычно проводится в сочетании с дуоденальными зондированиями.
Лекарство запрещено принимать беременным женщинам, гипертоникам, при острой вирусной форме гепатита, при наличии болезней печени, а также в случае индивидуальной непереносимости средства.
Возможно возникновение побочных явлений: чувства опьянения и сонливости, увеличение печени, появление дискомфорта в правом подреберье, аллергические реакции. Иногда фиксируются протеинурия, кардиалгия, аритмия, сердечные боли.
Реабилитация. Важную роль играет беззондовое дуоденальное зондирование. На протяжении первой недели его проводят ежедневно, последующие 3 месяца – дважды в неделю. Обязательным условием восстановительного периода является ежедневное опорожнение кишечника. При физической задержке кала назначаются слабительные.
В восстановительный период проводится лечебный курс препаратами-гепатопротекторами (гепарсил, легалон, эссенциале Н, дарсил и др.), а также желчегонными средствами (аллохол, хофитол, холосас). Рекомендовано употребление отваров трав с желчегонным эффектом. Иногда назначают прием антихолестатических лекарств, спазмолитиков, симптоматических препаратов.
Проводится противовоспалительная, а также общеукрепляющая терапия. Назначается специальная диета при описторхозе, исключающая употребление продуктов с высоким содержанием жиров, пуринов и холестерина.
Контроль эффективности лечения
Забор анализов для определения эффективности лечения производится через 3 месяца после прохождения всех этапов лечения. Дуоденальное зондирование проводится 1 раз, копроовоскопия – трижды. Получение отрицательных результатов во всех случаях свидетельствует о выздоровлении. При получении положительных результатов лечение повторяют спустя полгода.
Полное выведение двуусток из организма не всегда свидетельствует о полном восстановлении нормальной работы гепатобилиарной, иммунной и пищеварительной систем.
Профилактика заболевания
Профилактика описторхоза заключается в соблюдении контроля над термической обработкой употребляемой рыбы. Есть можно только качественно проваренные, прокопченные, прожаренные либо просоленные рыбные продукты.
Варка рыбы должна осуществляться порционно в течение 25 минут, жарка – минимум 15 минут (большие куски – 20 минут). Выпечка рыбных пирогов должна длиться не менее часа.
В целях обеззараживания потенциально опасной рыбы к использованию рекомендован метод заморозки: при -40°С рыбу выдерживают минимум 7 часов, при -35°С – 14 часов, при -28°С – 32 часа. Низкие температуры должны равномерно воздействовать на все части рыбы для исключения возможности выживания личинок двуустки. В обычном холодильнике гельминты могут сохранять жизнеспособность на протяжении месяца.
Для засолки рыбы, обеспечивающей ее обеззараживание, используют крепкий соляной раствор. Длительность посола зависит от вида рыбы:
- уклея, верховка, пескарь, гольян – 10 суток;
- елец, голавль, плотва, красноперка, подуст, синец, шиповка, белоглазка, чехонь, жерех, мелкие особи (менее 25 см) леща, линя, язя – 21 сутки;
- крупный (более 25 см) линь, лещ, язь – 40 суток.
В процессе холодного вяления также следует придерживаться рекомендованных схем:
- 2-недельная предварительная засолка (1 кг соли на 5 кг рыбы), вымачивание, вяление;
- 3-дневная предварительная засолка (1 кг соли на 5 кг рыбы), вяление на протяжении 3 недель.
Температурный режим при горячем копчении должен составлять +70 – +80°С, длительность обработки – не менее 2,5 часа.





