Гонококки, у мужчин найденные в анализе на мазок – нередкое явление в наши дни. Микроорганизмы являются возбудителем такого заболевания, как гонорея.
Болезнь передается половым путем, занимает лидирующее место по сравнению с другими венерическими заболеваниями. В острой форме у мужчины проявляются выраженные симптомы, что заставляет немедленно обратиться за помощью к специалисту.
У женщин, напротив, часто симптомы отсутствуют, что позволяет ей не обращаться за медицинской помощью и заражать своих партнеров. Лечение бывает затруднительным из-за устойчивости микроорганизмов ко многим видам антибиотиков.
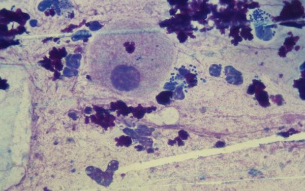
Бактерии имеют круглую форму с бугристой поверхностью. Располагаются парно. Скапливаются в лейкоцитах, где и погибают при захватывании. Их можно увидеть под микроскопом, при окрашивании специальным раствором.
Микроорганизмы не устойчивы к условиям окружающей среды, погибают при открытых солнечных лучах, нагревании и просушивании.
Причины развития заболевания у мужчин
Основной путь распространения гонококков – половой контакт. Однако встречаются случаи заражения через предметы общего пользования, но это чаще всего бывает в детском возрасте.
Отдельные виды штаммов имеют способность к выработке специального фермента, который разрушает действие антибиотиков. Поэтому в некоторых случаях лечение может затянуться. Определить наличие паразитов возможно, сделав мазок на гонококки у мужчин.
Встречаются редкие формы заболевания:
- При гонококковом перигепатите поражаются ткани печени. У пациента наблюдается тошнота, рвота, температура тела повышается. Это заболевание легко спутать с другими болезнями печени;
- Микроорганизмы вызывают фарингит, который может вовсе не сопровождаться какими-либо симптомами или же проявляются типичные симптомы характерные для этого недуга;
- Поражение глаз. Болезнь вызывает несоблюдение основных правил личной гигиены. Глаза отекают, выделяется гной, при свете появляется резь. Чаще всего инфекция попадает в глаза через загрязненные руки;
- При гонококковом проктите появляются слизистые выделения с кровью из анального отверстия. Могут появляться ложные позывы к дефекации. При затяжном течении у пациента появляется резкая боль и зуд в области прямой кишки;
- При проникновении бактерий в кровь у человека начинают опухать суставы, резко повышается температура тела. Изменениям подвергаются кожные покровы, на которых возникают гнойничковые воспаления;
- При гонококковом артрите воспалению подвергаются суставы. Сильный отек сопровождается покраснением кожи вокруг, жжением в пораженной области. На коже может не наблюдаться высыпаний.
Опасность таких проявлений в том, что симптомы схожи со многими другими заболеваниями невенерического характера, это может значительно затруднить диагностику.
Как проявляется
Инкубационный период заболевания длиться от 3 до 7 дней, после инфицирования. При повышенной сопротивляемости к различным инфекциям первые симптомы могут проявиться лишь на 2 неделю.
Болезнь может протекать в острой или хронической форме. Симптомы воспаления в острой форме:
- гнойные и слизистые выделения;
- при мочеиспускании появляется боль и жжение;
- увеличением количества мочеиспусканий за сутки.
При несвоевременной медицинской помощи воспаление распространяется на придатки яичек.
Происходит увеличение размеров яичек, появляются лихорадочные приступы и сильная боль в области мошонки. Приблизительно через месяц воспаление либо идет на спад, либо переходит в хроническую форму. Также имеется риск омертвения придатков.
В хронической форме симптомы могут быть не выраженными, поэтому пациент может долгое время не посещать специалиста, даже не подозревать, что такое гонококки у мужчин. Это крайне опасно за счет риска развития осложнений.
Если болезнь остается без лечения, то со временем воспалительным процессам подвергаются мочевой пузырь и почки.
Головка полового члена воспаляется, сужается уретральный канал. Нередким явлением является воспаление семенных пузырьков, которое называют везикулитом.
Симптомы при остром везикулите:
- повышенная температура тела;
- при мочеиспускании и дефекации возникает тупая боль;
- утомляемость и озноб;
- головные боли;
- эрекции в ночное время;
- выделение крови со спермой.
При остром воспалительном процессе сразу 2 яичек мужчина может с трудом передвигаться или же это бывает невозможно. Иногда такие осложнения вызывают необратимые изменения, что приводит к импотенции и бесплодию.
Методы диагностики
Для постановки точного диагноза недостаточно проявления симптомов, для этого проводят микробиологические исследования. Потому, что эти признаки схожи с другими заболеваниями, которые передаются через половые контакты.
С помощью бактериоскопического метода можно под микроскопом определить наличие микроорганизмов. Бактериологическим методом выявляют чувствительность паразитов к различным антибактериальным препаратам.
В лаборатории проводят следующие исследования:
- мазок со слизистой оболочки;
- выявление ДНК возбудителя;
- бактериологического посева;
- определение антител.
Гонококки в мазке у мужчин изменяют количество лейкоцитов.
Метод исследования ПЦР является наиболее точным и дешевым. Только после проведения этого исследования можно наверняка судить о наличии возбудителя.
Мазок помещается в питательную среду, результаты будут известны уже через 5-7 дней. Для определения антител необходим анализ крови.
Расшифровка анализов
Положительный результат при исследовании мазка, когда гонококки обнаруживаются:
- Повышенное количество лейкоцитов, 10 – наличие воспалительного процесса, от 10 до 20 – острое гнойное воспаление;
- При окраске по Гамму присутствуют микроорганизмы;
- Наличие слизи, изменение лейкоцитов, больше 1 +, считают признаком воспалительного процесса;
- Присутствие в большом количестве клеток эпителий.
Результаты посева на гонококк:
- Наличие роста микроорганизмов;
- Найден возбудитель гонококка.
Анализ на гонококки у мужчин в обязательном порядке требует расшифровки квалифицированного специалиста.
Заключение
Чтобы избежать заражения необходимо во время секса с малознакомой партнершей использовать презервативы. Соблюдать все необходимые правила личной гигиены, регулярно мыть руки после нахождения в общественном месте.
Кроме того, как минимум 2 раза за год необходимо проходить обследования, чтобы выявить возможные заболевания на ранней стадии. Мужчинам с беспорядочной половой жизнью желательно проводить обследование каждый месяц.
Гонококки – это патогенные микроорганизмы, вызывающие у взрослых людей гонорею, а у новорожденных — бленнорею. Neisseria gonorrhoeae обнаружены дерматовенерологом Нейссером в 1879 году. Расположенные попарно бактерии округлой формы (диплококки) способствуют образованию гнойного воспаления слизистых оболочек человека. Оптимальная среда для активного размножения гонококков – кислая (рН 7,2-7,4), температура – 37°С. Стоит тщательно изучить, как передаются эти микробы, каковы симптомы болезни, меры борьбы с инфекцией.
Пути заражения
Основной путь заражения гонококками — половой. Генитальные, оральные и анальные половые контакты без презерватива даже при однократном соитии грозят инфицированием. Заражение новорожденных происходит во время родов. Гонококки попадают в конъюнктиву глаз и в слизистую оболочку половых органов ребенка при движении по родовым путям матери.
Neisseria gonorrhoeae вызывают воспалительный процесс органов мочеполовой системы, прямой кишки, горла, конъюнктивы у младенцев. Бытовой путь инфицирования детей встречается не часто. Гонококки сначала поражают мочеполовую систему, а затем очень быстро инфицируют межклеточное вещество пораженных тканей. Инкубационный период (время от попадания микробов до появления симптомов) гонореи составляет 14 дней. При наличии у больного хламидиоза или трихомониаза срок инкубации гонококков значительно сокращается.
Симптомы гонококков у женщин
Воспаление влагалища, уретры, шейки матки женщины, вызванное гонококками, при отсутствии соответствующего лечения может распространиться на слизистую полости матки и яичников. Запущенная болезнь создает риск внематочной беременности, тяжелых осложнений при родах, и может грозить бесплодием женщине. Нужно помнить, что иногда возможно бессимптомное носительство гонококков. Симптоматика гонореи женщин такова:
- учащенное и болезненное мочеиспускание;
- гнойные зловонные выделения из влагалища;
- вульвит – воспаление наружных половых органов.
Симптомы у мужчин
Если мужчина вовремя не начнет лечение гонореи, гонококковая инфекция быстро распространятся на мочеиспускательный канал, яички, простату и семенные пузырьки. Это может привести к хроническому простатиту и бесплодию. Основные симптомы у мужчин, инфицированных гонококками:
- воспаление крайней плоти и головки полового члена;
- зуд, жжение, дискомфорт при мочеиспускании;
- выделение капель гноя из уретры при сдавливании головки пениса;
- выделение небольшого количества крови в конце мочеиспускания;
- помутнение мочи;
- воспаление паховых лимфоузлов.
Чем опасно наличие гонококка в мазке
Наличие возбудителей гонореи определяют лабораторным путем после взятия мазка. Его берут у мужчин из уретры, у женщин – из влагалища и шейки матки. Гонококки в мазке у женщин говорят о том, что инфекция занесена половым путем и может вызвать опасные заболевания:
- Гонококковый цервицит (воспаление шейки матки). Провоцирует гнойные выделения, болезненные ощущения внизу живота и поясницы, которые проявляются в течение 10 дней после заражения гонококками. Иногда повышается температура тела. Возможны резь и жжение при мочеиспускании. Нарушается менструальный цикл. Половой акт становится болезненным, могут быть кровянистые выделения.
- Вагинит. Воспаление слизистой оболочки влагалища гонококками вызывает ее отечность. Симптомы такие же, как при цервиците.
- Аноректальная гонорея. Иногда, в силу анатомической близости задней влагалищной стенки и ануса, гонококки попадают в прямую кишку женщины. 40% случаев болезни протекает бессимптомно. У других 60% пациенток наблюдается сильное жжение в области ануса, гнойные выделения на кале, болезненность при дефекации.
Мазок у мужчин берется из уретры при помощи введения в нее специального зонда. Вначале уролог делает массаж мочеиспускательного канала и простаты, после чего делается забор биоматериала. Присутствие гонококков может вызвать у мужчин гонорейный везикулит: болезнь, при которой инфицирование патогенными микробами ведет к воспалительным процессам семенного пузырька. Отсутствие лечения может привести к эмпиеме – гнойному воспалению этого секреторного органа.
Анализ на гонококки
Выявленный лабораторными анализами возбудитель гонореи гонококк нейссера в мазке позволяет врачу назначить эффективное лечение венерического заболевания. Новые медицинские технологии определяют, существует ли устойчивость патогенной флоры к определенному антибиотику. Исследование на гонококки влияет на выбор препаратов, необходимых для борьбы с ними. Среди новейших методов исследования выделяют:
Способы взятия анализа
Мазок наносится тонким слоем на предметное стекло. Его окрашивают раствором эозина и метиленовым синим. На фоне розового гонококки видны как более яркие клетки. Метод не всегда дает точный результат.
За 2 дня исключаются половые акты. Анализ не будет точным, если пациент принимает медикаментозные средства, поэтому прекращают их прием за 7-10 дней до взятия мазка. Перед посещением врача нельзя использовать средства интимной гигиены. Мазки не берут у женщин во время месячных.
У мужчин берут мазок из уретры, у женщин – из влагалища, шейки матки, уретры.
Материал мазка (посев) помещают в специальную питательную среду и создают благоприятные условия для размножения бактерий. Отбирают колонии, по описанию соответствующие таковым у гонококков. Окрашивают 1% раствором парафенилендиамина. Изучают под микроскопом. Определяют чувствительность гонококков к антибиотикам для назначения эффективного лекарства.
Запрещено перед сдачей анализа подмывание, спринцевание, применение антисептических средств.
Мазок берется аналогично предыдущему способу, но посев помещают в специальную транспортную среду и хранят при пониженной температуре не более 24 часов.
Полимеразная цепная реакция (ПЦР)
Биологический материал мазка помещают в реакционную смесь, ищут ДНК гонококка.
За сутки до сдачи анализа прекращают половые контакты, перед исследованием 3 часа не мочатся.
Берут выделения урогенитального тракта (уретра, вагина, шейка матки)
Заключается в изучении антител к гонококку (наличие иммуноглобулинов в организме в ответ на присутствие патогенных бактерий). Метод используется при хронической и осложненной гонорее.
Сдавать кровь для исследования необходимо в утренние часы натощак.
Гонококки относятся к простейшим микроорганизмам, которые, попав в женский организм, приводят к формированию процесса воспалительного характера. Они локализуются на слизистых оболочках органов мочеполовой сферы. Гонококки становятся причиной формирования гонореи, а она требует немедленного и обязательного медикаментозного лечения. Самым информационным и достоверным обследованием для определения болезни является проведение посева на гонококки. О том, что это такое мы сейчас и поговорим.
Характеристика возбудителя
Гонококки Нейссера относятся к группе грамотрицательных диплококков, которые по своему строению напоминают зерна кофе. Особенностью данных микроорганизмов считается то, что они наделены способностью изменять свою антигенную структуру (при наличии благоприятных факторов).
Бактерия не устойчива к факторам внешней среды, ее гибель наблюдается при воздействии температуры выше 40 градусов, солнечных лучей и мыльной воды. Проживать она может только в полости организма носителя.
Путем передачи инфекции считается половой или контактно-бытовой (например, при использовании общих полотенец). Риск инфицирования при однократном половом контакте без использования барьерных методов контрацепции составляет 50%.
Период инкубации заболевания составляет 10 суток. Основная опасность гонореи в том, что на начальных стадиях патологического процесса подавляющее большинство женщин не испытывают и не наблюдают отклонений в функционировании своего организма.
Обратите внимание, даже в случае наличия в анамнезе такого патологического состояния как гонорея, при несоблюдении определенных правил и рекомендаций в будущем не исключено заражение. Объясняется это тем, что к гонорее иммунитет у человека не вырабатывается.
Причины возникновения инфекционного процесса
Инфицирование бактериями может произойти в следующих случаях:
- во время незащищенного полового контакта;
- вертикальным путем, то есть при прохождении плода через инфицированные родовые пути женщины (прежде всего, наблюдается поражение слизистых оболочек глазных яблок и ушных раковин);
- трансплацентарным путем, когда инфекция попадает к плоду еще во время его внутриутробного развития.
Очень редко заражение наблюдается после контакта с предметами, на которых остались гонококки (это может быть постельное белье после полового акта или сидение унитаза после совершения акта мочеиспускания).
Взятие мазка для определения флоры
Медицинские работники рекомендуют проходить бактериологическое исследование всем представительницам слабого пола (хотя бы раз в год), это позволит своевременно выявить бактерии, локализующиеся во влагалище. Необходимо акцентировать внимание на том, что в наше время довольно часто гонококки обнаруживаются у представительниц слабой половины человечества, не достигших двадцати пятилетия.
Необходимо заметить, что в норме гонококки в мазке у женщин отсутствуют. Конечно, вагинальная среда не чистая, ведь в ней содержится немалое количество бактерий, их функциональными обязанностями является создание нормальной микрофлоры. Важнейшей бактерией считается палочка Дедерлейна, именно она отвечает за кислую среду влагалища и уничтожение патогенных микроорганизмов.
При проникновении инфекции в полость организма происходит изменение нормальной микрофлоры, которая сопровождается ростом бактериологических колоний. Этот процесс не всегда приводит к появлению патологических ощущений, поэтому вспомогательным будет проведение бактериологического мазка на гонококки для выявления инфекции.
Фактом, который требует внимания, является то, что гонококки лучше проявляют себя при проведении культурального метода диагностики. В его основе лежит выращивание бактерий для определения их резистентности к антибактериальным препаратам.
https://youtube.com/watch?v=LX3SKa6EP7g
Подготовка к обследованию и техника забора
Для максимальной достоверности результатов обследования необходимо владеть информацией о правилах подготовки к сдаче бактериологического мазка. Алгоритм рекомендаций выглядит следующим образом:
- Хотя бы за семь суток до момента сдачи анализа необходимо прекратить употребление антибиотиков и не использовать в данный период времени вагинальные мази, крема, свечи и таблетки. Если это не удается возможным, то об этих нюансах необходимо обязательно предупредить врача, который будет проводить взятие мазка. Это нужно также учитывать в тот момент, когда будет осуществляться расшифровка результатов.
- За двое суток до обследования необходимо исключить контакты полового характера.
- Гигиеническая обработка половых органов должна проводиться в вечернее время накануне проведения исследования.
- Нужно постараться воздержаться от мочеиспускания хотя бы за 2 часа до обследования.
- Лучшим периодом для проведения обследования на гонококки считаются первые дни после окончания менструации или несколько суток до ее начала.
Читайте также по теме
Берут гинекологические мазки на гонорею со слизистых оболочек влагалища, шейки матки и уретры. Анализ на гонококки относится к безболезненным процедурам, ведь забор биологического материала осуществляется с помощью ватного тампона. Дискомфортные ощущения могут возникать только при проведении забора материала для урогенитального мазка.
Прежде всего, перед тем как брать мазок врач проводит гинекологический осмотр половых органов при помощи зеркал и пальпации. После этого проводится забор материала и перенос его на питательную среду. Необходимо заметить, что некоторые женщины могут предъявлять жалобы во время этой манипуляции на появление дискомфортных ощущений при касании к шейке матки.
Полученный материал направляют в лабораторию, где осуществляется анализ мазка. Результаты можно получить примерно через четверо суток с момента его сдачи.
Какую опасность представляет выявление гонококков
Если расшифровка анализа указывает на присутствие в гинекологическом мазке гонококков, это является свидетельством наличия в организме инфекционного процесса. Данные бактерии могут приводить к формированию достаточно тяжелых патологических состояний, которые представляют немалую опасность для организма:
- Гонококковый цервицит. При этом состоянии появляются выделения густой консистенции, которые имеют гнойный характер, повышение температуры тела, болевые ощущения в пояснице и внизу живота, жжение при осуществлении акта мочеиспускания. Особым признаком, подтверждающим наличие гонореи, является появление кровяных выделений после отношений интимного характера, а также сбой менструального цикла.
- Гонококковый вагинит. Его характеризующими особенностями считается появление выделений, имеющих бледно-желтую окраску, болевых ощущений при мочеиспускании, а также в нижних отделах живота. Боль усиливается во время секса, наблюдается нарушение месячных. При проведении гинекологического осмотра появляются болевые ощущения, наблюдается отечность и покраснение слизистых влагалища.
- Аноректальная гонорея. Данное патологическое состояние возникает у женщин в результате особенностей анатомического строения тела. Почти у половины пациентов проявления патологического состояния отсутствуют, другая часть же предъявляет жалобы на ощущение жжения и зуда, которое локализуется в анальном отверстии, появление боли при осуществлении акта дефекации и присутствие выделений гнойного характера на каловых массах. Данное патологическое состояние требует особого внимания, ведь его переход в хроническую форму может сопровождаться формированием абсцесса.
Оценка результатов анализа
Как уже отмечалось, мазок на гонококки должен сдаваться регулярно, при осуществлении ежегодного медицинского осмотра женщины. Состояние микрофлоры при оценке результатов делят на 4 степени чистоты. Кроме этого оценивается количество бактерий, дрожжевых грибков, лейкоцитов, а также состояние эпителия.
При постановки диагноза врач ориентируется на следующие критерии, так называемые степени чистоты.
- 1 степень – самый лучший вариант, в современном мире встречается не так и часто. Лейкоциты в мазке находятся в пределах нормы. Флора влагалища представлена большим количеством палочек Дедерлейна, слущенные эпителиальные клетки и слизь в небольшом количестве.
- 2 степень – Самый встречаемый вариант — соответствует норме, при котором лейкоциты соответствуют нормальным значениям, слизь и эпителий не превышают допустимых показателей. В этом варианте уже в микрофлоре появляется небольшое количество кокков или грибов Кандида. Лактобактерии в достаточном количестве.
- 3 степень – большое количество слизи и эпителиальных клеток обнаруживают в мазке. Полезных лактобацилл не достаточное количество, вместе с этим наблюдается увеличение числа грибков Кандида и патогенных микробов.
- 4 степень – лейкоцитов так много, врач-лаборант описывает их термином «сплошь». Нарушение в микрофлоре проявляется большим количеством болезнетворных микроорганизмов. Палочки Дедерлейна единичны или отсутствуют полностью. Слизь и эпителий в большом количестве.





